Skada: Fraktur fotled
Innehåll
Klassificering
Det finns flera olika klassificeringar. T.ex. antal frakturerade malleoler (uni-, bi- eller trimalleolär skada), Weber (A, B eller C-skada) eller enligt AO (liknande Weber men mer utförligt).
Syndesmosligamenten är viktiga för fotledsstabiliteten. Ett främre ventralt mellan distala tibia och fibula, och ett bakre mellan bakre malleolen (proc. tibialis posterior) och fibula.
Syndesmoshöjd
En viktig parameter är om skadan är i syndesmoshöjd. Om någon del av frakturen är ungefär i höjd med syndesmosen så räknas den som i syndesmoshöjd. För att vara proximalt om syndesmoshöjd så ska den mest distala frakturlinjen vara flera centimeter proximalt om syndesmosen.
Antal malleoler
- Antal av laterala malleolen, mediala malleolen samt posteriora malleolen (proc. tibialis posterior) som är frakturerade. Kan vara unimalleolär, bimalleolär eller trimalleolär skada.
Weber
Baseras enbart på fibulafraktur:
- Nedom syndesmosligamentet
- I nivå med syndesmosligamentet, ca 80 % av fallen.
- Ovan (proximalt om) syndesmosligamentet. Den mest distala frakturlinjen ska vara flera cm proximalt om syndesmosen för att klassas som Weber C.
Tvärgående, hög fibulafraktur utan status i fotleden och som inte är ömmande då man försöker trycka isär fibula och tibia är ingen fotledsfraktur utan fibulafraktur.
AO
Liknande Weber men mer komplext. Något förenklat:
| AO |
Lat mall |
Med mall |
Post mall |
| A |
A1 |
Ligamentskada eller fraktur, nedom syndesmos |
- |
- |
| A2 |
Ligamentskada eller fraktur, nedom syndesmos |
Fraktur |
- |
| A3 |
Ligamentskada eller fraktur, nedom syndesmos |
Fraktur |
Fraktur |
| B |
B1.1 |
Odislocerad fraktur i syndesmoshöjd, främre ligamentet oskadat |
- |
- |
B1.2
|
Dislocerad enkel fraktur i syndesmoshöjd, främre ligamentet skadat |
- |
- |
| B1.3 |
Dislocerad komminut fraktur i syndesmoshöjd, främre ligamentet skadat |
- |
- |
| B2.1 |
Fraktur i syndesmoshöjd |
Ligamentskada |
- |
| B2.2 |
Fraktur i syndesmoshöjd |
Fraktur |
- |
| B3 |
Fraktur i syndesmoshöjd |
Ligamentskada eller fraktur |
Fraktur |
| C |
C1 |
Diafysär fraktur flera cm ovan syndesmoshöjd, ej komminut |
Ligamentskada eller fraktur |
- |
| C2 |
Komminut diafysär fraktur flera cm ovan syndesmoshöjd |
Ligamentskada eller fraktur |
Kan ha fraktur |
| C3 |
Proximal fraktur |
Ligamentskada eller fraktur |
Kan ha fraktur
|
Pilonfraktur
Distal intraartikulär tibiafraktur, kompression av tibia mot talus. Svårbehandlad. Om fibula är intakt så benämns den enligt AO inte som fotledsfraktur utan distal tibiafraktur. Behandlas ofta med plattor och skruvar, kan behövs externfixeras innan definitiv fixation under väntan på att mjukdelarna ska återhämta sig.
ICD-10:
- S82.30 Fraktur på nedre delen av tibia - sluten
- S82.31 Fraktur på nedre delen av tibia - öppen
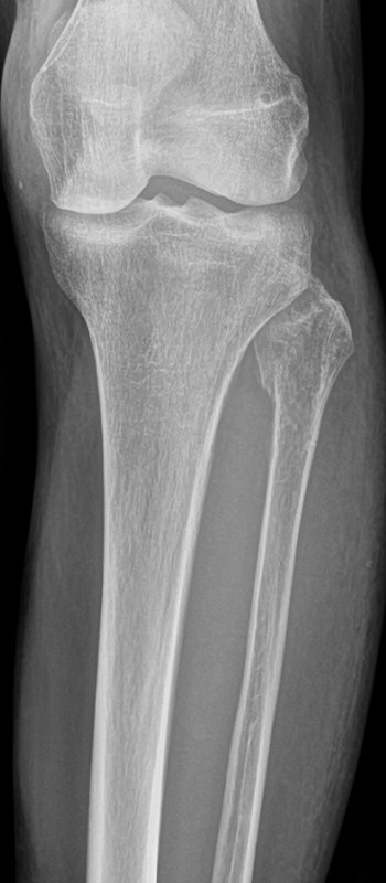
Maisonneuvefraktur
Proximal fibulafraktur (AO C3), ruptur av membrana interossea ned till fotleden och fraktur i mediala malleolen eller ruptur av lig. deltoideum.

Exempel på maisonneuvefraktur. Proximal spiralformad fibulafraktur, var svullen och ömmande runt båda malleolerna men ingen fraktur distalt.
Röntgen
Ska göras i 3 vinklar:
- Frontalbild, tibiofibulär överlappning ska normalt vara > 10 mm
- Sidobild, tibiofibulär overlap ska normalt vara < 6 mm
- Gaffelbild = mortise view, inåtroterad 15°, medial clear space ska normalt vara < 5 mm
På akuten
- Om fotleden är fixerad med t.ex. vakuumkudde så avlägsna fixeringen.
- Palpera både på och runt laterala och mediala malleolen, fotens skelett samt proximala fibula.
- Kontrollera hudskador och distalstatus, dokumentera gärna skador och svullnad med kamera.
- Om fotleden ligger uppenbart felställd:
- Ge smärtlindring och muskelavslappnande, t.ex. 5 mg morfin och 0,5-1 mg midazolam i.v.
- Reponera direkt, innan röntgenundersökning, annars risk för hudskador som omöjliggör kirurgi. Oftast: Ta i hälen och på fotryggen, dra i distal riktning (anpassa dragriktning efter luxationsskada). Det kan knaka när man drar.
- Lägg dorsal gipsskena eller 3-delad gipsskena efter reponering.
- Om man inte får till ett bra läge trots flera försök så kontakta bakjour, även nattetid. Alternativ kan då vara:
- Nytt reponeringsförsök
- Reponering på operationsavdelning med ökad smärtlindring
- Akutoperation med extern eller intern fixation
- Beställ slätröntgen av fotled.
- Vid minsta misstanke om skada av proximala fibula så beställ också underbensröntgen, det är aldrig fel att göra detta, om det inte finns minsta misstanke om skada så kan man hoppa över det.
- Vid bakre fragment: var frikostig med DT för kartläggning
- Vid oklarhet om fraktur eller ej kan man följa Ottawa-reglerna där man vid summering ≥ 2 poäng rekommenderas att röntga fotleden:
- 2p. Ömhet vid dorsala delen av laterala eller mediala malleolerna och 6 cm uppåt
- 1p. Har inte kunnat stödja på foten direkt efter traumat
- 1p. Kan inte gå 4 steg i undersökningsrummet
Om röntgen visar fraktur, så klassificera den enligt ovan.
Fraktur enbart mediala malleolen
Vid odislocerad eller fraktur dislocerad < 2 mm [1] och kongruent fotgaffel: gipsstövel [4] i 4-6 veckor, får belasta, återbesök med röntgenkontroll efter 1 vecka.
Vid dislocerad fraktur: förbered för operation med skruv, platta eller zuggurtung beroende på frakturutseende [4].
Fraktur enbart bakre malleolen
Utred med DT.
Vid skada < 25 % av ledyta och < 2 mm gap i ledyta och stabil syndesmos: gipsstövel [4] i 4-6 veckor, får belasta, återbesök med röntgenkontroll efter 1 vecka
Annars: förbered för operation med skruv och/eller platta [4]
Inkongruent fotledsgaffel men ingen fraktur
Ovanligt. Syndesmosruptur ger svullnad, hematom och instabil fotledsgaffel. Vid osäkerhet kan man göra röntgenundersökning med belastning, testa stabilitet med genomlysning på operation [1] eller med MR-undersökning. Sätt gips, avlasta, förbered för operation med två syndesmosskruvar med fäste i fyra kortex eller två dragsuturer (tightrope) som C3-frakturer. [1]
A1
Fibulaskada eller lateral ligamentskada nedom syndesmoshöjd, ingen skada medialt:
- Vid enbart avulsionsfraktur: elastisk linda eller bygelortos om det finns tillgängligt.
- Vid större fragment: eventuellt Walker-ortos (alt. gipsstövel) i upp till 4 veckor, får belasta fullt, kan tas av för rörelseträning och dusch.

Exempel på A1-skada. Behandlades med elastisk linda och kryckor.
B1.1
Odislocerad fraktur i syndesmoshöjd på fibula, främre syndesmosen intakt, ingen svullnad eller ömhet runt mediala malleolen:
- Walker-ortos dygnet runt (får tas av för rörelseträning. alt. gipsstövel) i 3 veckor, får belasta fullt. [1]
- Remiss till fysioterapeut för avveckling av ortos och träning av rörelse, stabilitet och styrka.
B1.2 och B1.3
Notera att den gamla regeln om max 2 mm felställning ej gäller längre.
Fotleden ska vara kongruent, annars troligen B2-skada. Fibula är skadad i syndesmoshöjd, främre syndesmosen skadad, ingen svullnad eller ömhet runt mediala malleolen. Är stabila:
- Cirkulärt gips eller Walker-ortos dygnet runt, patienten får belasta.Vid gips kan detta behöva bytas efter ca 3 veckor, alternativt då bytas till ortos.
- Återbesök 6 veckor efter trauma med avveckling av gips/ortos
- Om öm och/eller stel vid återbesöket: remiss till fysioterapi och kontroll efter ytterligare 4 veckor (alltså 10 veckor efter trauma)
- Om fortfarande öm vid 10-veckorskontrollen: ny röntgen och ny individualiserad bedöming
Men om man är osäker på om det finns medial skada så:
- Om röntgen visar kongruent fotled:
- Cirkulärt gips eller Walker-ortos, låt patienten belasta, återbesök 1 vecka efter trauma med röntgenkontroll.
Om patienten gått på benet innan röntgen så indikerar det stabil skada, behöver inte kontrolleras med 1-veckas återbesök.
- Om ej kongruent fotled vid 1-veckas återbesök: operationsanmäl och förbered operation, inneliggande alt. polikliniskt
- Om kongruent fotled vid 1-veckas återbesök: Återbesök 6 veckor efter trauma med avveckling av gips/ortos
- Om öm och/eller stel vid återbesöket: remiss till fysioterapi och kontroll efter ytterligare 4 veckor (alltså 10 veckor efter trauma)
- Om fortfarande öm vid 10-veckorskontrollen: ny röntgen och ny individualiserad bedöming
- Annars: enligt övriga fotledsfrakturer nedan.
B2.1
Fibulaskada i syndesmoshöjd, medial ligamentskada:
Betraktades tidigare som instabila och opererades alltid, oftast med lateral en tredjedels rörplatta. Men enligt ny evidens [5] kan de ofta behandlas med belastningsbart gips, exempelvis enligt nedan:
Vid utgångsläge med luxation, eller större inkongruens i fotleden:
- Förbered för poliklinisk operation, oftast med lateral en tredjedels rörplatta
Annars, vid kongruent eller nära kongruent fotledsgaffel:
- Cirkulärt gips [1]
- Belastning [1]
- Återbesök efter 1 vecka med avgipsning, röntgenkontroll med fotled i 90° och minst 50 % belastning [1]
- Vid återbesök:
- Om kongruent fotled vid återbesöket: fortsätt med cirkulärt gips eller Walker-ortos och belastning, total immobiliseringstid 6 veckor [1]
- Annars: förbered för poliklinisk operation, oftast med lateral en tredjedels rörplatta [1]
Övriga
Övriga frakturer är instabila:
- Huvudregeln är kirurgi. Operation nattetid endast vid större öppet sår, ej reponerbar luxation med hudskada eller artärpåverkan.
- Vid kongruent fotled och riskfaktorer: överväg gipsbehandling (cirkulär underben vid A2-A3, annars cirkulär helben) i ca 6 veckor (upp till 12 veckor vid diabetes) med täta röntgenkontroller.
- Vid inkongruent fotled och riskfaktorer: överväg reposition i narkos och därefter gipsbehandling (cirkulär underben vid A2-A3, annars cirkulär helben) i ca 6 veckor (upp till 12 veckor vid diabetes) med täta röntgenkontroller.
- Förbered annars operation med skruvar och/eller platta och/eller syndesmosskruv, om möjligt inläggning och operation inom 24 timmar, annars risk för svullnad.
- SU: Inläggning vid behov beroende på funktionsnivå, smärtpåverkan och samsjuklighet.
SÄS: Huvudregeln är inläggning av alla fotledsfrakturer som är luxerade eller felställda, även ej felställda bi- eller trimalleolära.
- Gipsskena och högläge, fotpump om det finns för att motverka svullnad.
- Om operationen inte blir av inom någon dag så svullnadskontroll med rynktest efter ca 4 dagar.
ICD-10
Enbart fibula proximalt om malleolen (ovanligt):
- S82.4: Fraktur på fibula enbart
- S82.40: Fraktur på fibula enbart, sluten
- S82.41: Fraktur på fibula enbart, öppen
Enbart mediala malleolen:
- S82.5: Fraktur på mediala malleolen
- S82.50: Fraktur på mediala malleolen, sluten
- S82.51: Fraktur på mediala malleolen, öppen
Enbart laterala malleolen:
- S82.6: Fraktur på laterala malleolen
- S82.60: Fraktur på laterala malleolen, sluten
- S82.61: Fraktur på laterala malleolen, öppen
Bi- och trimalleolär samt C-skador:
- S82.8: Frakturer på andra specificerade delar av underben
- S82.80: Frakturer på andra specificerade delar av underben, sluten
- S82.81: Frakturer på andra specificerade delar av underben, öppen
Referenser
- Fotledsfrakturer - Ortopedisk handläggning av fotledsfrakturer, SU (giltig från 2024-01-26)
- Fot - Fotledsfraktur - FYS, SU (giltig från 2024-10-16)
- Fotledsfrakturer, patientinformation från Akademiska sjukhuset
- Ankle Fractures - Trauma på orthobullets.com (besökt 2020-02-16)
- GREGERSEN, Martin G.; MOLUND, Marius. Weightbearing radiographs reliably predict normal ankle congruence in Weber B/SER2 and 4a fractures: a prospective case-control study. Foot & Ankle International, 2021, 42.9: 1097-1105. (besökt 2024-07-09)
Uppdaterad: 2025-09-19 21:07:28 av Lars Johanson