Skada: Fraktur metatarsalben
Definitioner
Jones fraktur: Extraartikulär fraktur proximalt på metatarsale 5, på gränsen mellan metafys och diafys, transversell 1,5 till ca 3 cm distalt om proximala änden [1, 4], frakturlinjen ska inte gå in i leden mot kuboideum men mot metatarsale 4. Frakturer i detta område läker dåligt.
Längre proximalt: ofta avulsionsfraktur.
Längre distalt: ofta stressfraktur.

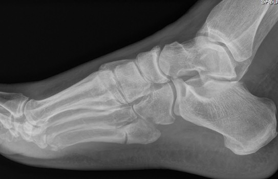
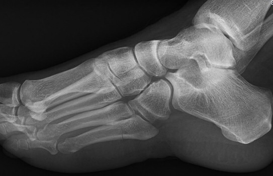
Mellan de röda strecken: ungefärligt läge för Jones-fraktur. Längre proximalt: avulsionsfraktur.

Exempel på Jones-frakturer, första bilden färsk, andra bilden ej läkt, tredje bilden efter operation.
Handläggning
Fraktur på flera metatarsalben:
Individuell bedömning, lägre tröskel för operation.
- Sätt gipsstövel på akuten
- Odislocerade frakturer:
- Gipsstövel i 4-6 veckor, belastning påbörjas efter halva gipstiden [1]
eller
- Elastisk linda, och ökande belastning [4]
- Dislocerade frakturer: Förbered för operation med öppen reposition och skruvfixation [1, 4]
Fraktur metatarsale 1:
- Odislocerad fraktur, olika möjligheter:
- Gipsstövel i 4-6 veckor, belastning påbörjas efter halva gipstiden [1]
eller
- Elastisk linda, ökande belastning [4]
eller
- Stabil sko, belastning till smärtgräns [2].
- Felställning med sidoförskjutning < 3 mm [1] och vinkel < 10° [1, 2]:
- Sätt gipsstövel på akuten
- Förbered för poliklinisk operation med sluten reposition, perkutan stiftning [1, 2, 4], därefter gips 4 veckor [4].
- Större felställning:
- Sätt gipsstövel på akuten
- Förbered för operation med öppen reposition och fixation, ofta med platta, ev. med stift eller skruv. Postoperativt gips i 6 veckor, avlastning endast vid ej stabil fixation. [1]
- Fraktur metatarsalhuvudet:
- Sätt gipsstövel på akuten
- Förbered för operation med exakt reposition och stabil fixation [1]
Fraktur metatarsale 2-4:
- Stressfraktur, odislocerad: Minskad belastning och skor med hård sula i 4-6 veckor, återbesök vid behov.
- Odislocerad fraktur, olika möjligheter:
- Gipsstövel i 4-6 veckor, belastning påbörjas efter halva gipstiden [1]
eller
- Elastisk linda, ökande belastning [4]
eller
- Stabil sko, belastning till smärtgräns [2].
- Felställning med sidoförskjutning < 3 mm [1] och vinkel < 10° [1, 2] eller spiralfraktur med förkortning > 3 mm:
- Sätt gipsstövel på akuten
- Förbered för poliklinisk operation med sluten reposition, perkutan stiftning [1, 2, 4], därefter gips 4 veckor [4].
- Större felställning:
- Sätt gipsstövel på akuten
- Förbered för operation med öppen reposition och fixation med stift eller skruv. Postoperativt gips i 6 veckor, avlastning endast vid ej stabil fixation. [1]
Fraktur metatarsale 5:
- Avulsionsfraktur på basen av metatarsale 5 med rotation av fragmentet eller intraartikulär med felställning > 4-5 mm:
- Annan avulsionsfraktur på basen av metatarsale 5, inkl. intraartikulär:
- Linda eller ortos, får belasta [1, 3, 4]
- Jones fraktur:
- Gipsstövel, avlastad i 6-8 veckor, om ej läkning efter 6 månader så skruvfixation, därefter gipsstövel i 6 veckor med partiell belastning. [1, 3]
eller möjligen
- Gipsstövel eller linda i 6 veckor, belastning till smärtgräns [4]
- Stressfraktur, kronisk Jonesfraktur:
- Gipsstövel i 4-6 veckor med successivt ökande belastning [4]
eller
- Förbered för operation med fixation med kompression och ev. bentransplantaton, särskilt vid felställning. [1, 4]
- Odislocerad diafysär fraktur, olika möjligheter:
- Gipsstövel i 4-6 veckor, belastning påbörjas efter halva gipstiden [1]
eller
- Elastisk linda, ökande belastning [4]
- Felställning med sidoförskjutning < 3 mm [1] och vinkel < 10° [1]:
- Sätt gipsstövel på akuten
- Förbered för poliklinisk operation med sluten reposition, perkutan stiftning [1, 4], därefter gips 4 veckor [4].
- Större felställning:
- Sätt gipsstövel på akuten
- Förbered för operation med öppen reposition och fixation med stift eller skruv. Postoperativt gips i 6 veckor, avlastning endast vid ej stabil fixation. [1]
ICD-10
- S92.3: Fraktur på metatarsalben
- S92.30: Fraktur på metatarsalben, sluten
- S92.31: Fraktur på metatarsalben, öppen
Referenser
- Fotkirurgi av Fredrik Montgomery och Jan Lidström, ISBN 47-05204-X
- Metatarsal fractures på orthobullets.com (besökt 2018-12-03)
- 5th Metatarsal Base Fracture på orthobullets.com (besökt 2018-12-03)
- Framfotsfraktur, hos vuxna på internetmedicin (besökt 2018-12-03)
Uppdaterad: 2022-10-02 12:34:14 av Lars Johanson