Skada: Fraktur C2 dens
Klassificering
- Typ 1: fraktur genom toppen av dens, ovan lig. transversum.
- Typ 2: fraktur genom basen på dens. Instabil.

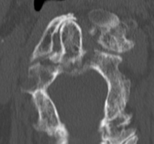
Exempel på dens-fraktur typ 2 före och efter fixation.
- Typ 3: fraktur som går ned i kotkroppen på C2 vilket medför större frakturyta och betydligt bättre läkningsmöjlighet. Instabil.

Exempel på dens-fraktur typ 3. Behandlades med halskrage i 12 veckor.
Handläggning
- Hanteras i akutläget enligt "Kontusion halsrygg" (med DT-undersökning).
- Sätt halskrage och undersök neurologi om inte gjort.
- Diskutera med bakjour/ryggbakjour.
- Typ 1: ofta konservativ behandling med stel halskrage (C62 eller Vista) i 3 månader.
- Typ 2:
- Om C1 intakt och felställning < 6 mm: Stel halskrage (C62 eller Vista) i 3 månader
- Om ligamentavulsion: beställ akut MR. Troligen operation.
- Annars: troligen operation med skruv eller bakre fusion
- Typ 3: Stel halskrage (C62 eller Vista) i 3 månader
- Sjukskrivning i 3-4 månader
Efter kirurgisk behandling:
- Röntgenkontroll efter operation och efter 3 månader.
- Ev. mjuk halskrage.
- Får lyfta max 10 kg och ska undvika extrema rörelser i nacke i 3 månader.
Vid icke-kirurgisk behandling:
- Röntgenkontroll (slätröntgen i sittande eller stående efter mobilisering, vecka 2, 6 och provokationsröntgen vid 12 veckor.

Provokationsröntgen som visar instabilitet vid densfraktur typ 2
- Får lyfta max 1 kg och ej lyfta armar över axlarna under behandlingstiden.
ICD-10
- S12.10 Fraktur på andra halskotan, sluten
- S12.11 Fraktur på andra halskotan, öppen
- S12.7 Multipla frakturer på halskotpelaren
- S12.70 Multipla frakturer på halskotpelaren, sluten
- S12.71 Multipla frakturer på halskotpelaren, öppen
Länkar
Uppdaterad: 2024-01-26 12:50:41 av Lars Johanson