Skada: Luxation MCP-led
Handläggning
Kontrollera distalstatus. Utreds med slätröntgen.
- Lägg lokalbedövning proximalt om MPC-led (kan ibland reponeras även utan bedövning)
- Vid bakre luxation (vanligast):
- Flektera handleden [1]
- Tryck dorsalt på proximala delen av grundfalangen för att föra leden tillbaka på plats [1]
- Ibland är det omöjligt, troligen p.g.a. interponat, särskilt vid luxation av MCP2. Förbered då för snar operation med öppen reposition.
- Vid främre luxation:
- Flektera MCP [1]
- Tryck volart på grundfalangen för att föra leden tillbaka på plats [1]
- Ibland är det omöjligt, troligen p.g.a. interponat, vanligt vid luxation av MCP2. Förbered då för snar operation med öppen reposition.
- Efter reponering, oavsett slutet eller öppet:
- Kontrollera sidostabilitet [2, 4, 7]
- Gipsskena i 2 veckor [2, 4, 5, 6, 7] med lätt flexion MCP1 resp. 30° flexion för MCP2-5 [5]. Vid sidoinstabilitet istället gipsskena i funktionsställning i 3-4 veckor, därefter tvåfingerfixation ytterligare 2 veckor [7].
- Återbesök i samband med avgipsning [3, 4, 5], därefter direkt rörelseträning hos arbetsterapeut.

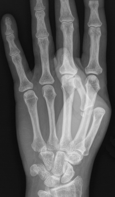
Volart luxerad MCP1-led. Reponerades med axiellt drag.
ICD-10
- S63.1: Luxation i finger eller tumme
- S63.2: Multipla luxationer i fingrar
Referenser
- MCP dislocations på orthobullets.com (besökt 2019-01-07)
- Skelett- och ledskador av läkarna vid ortopedkliniken i Karlstad, ISBN 9789188840066
- Ortopediskt traumakompendium under redaktion av G. Sandersjöö, ISBN 9789197865401
- Akut ortopedi av Lena Hultman och Johannes Järhult, ISBN 9789147094011
- Akut ortopedi av Jenny Önnerfält och Rolf Önnerfält, ISBN 9789144091020
- Ortopedi på akuten av Sven-Anders Sölveborn, ISBN 9789113028606
- Ortopedi i fickformat av Richard Blomfeldt, ISBN 9789163307195
Uppdaterad: 2022-03-23 16:20:48 av Lars Johanson