Skada: Luxation axel
På akuten

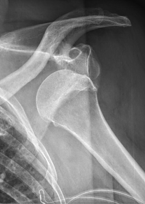
Främre luxation
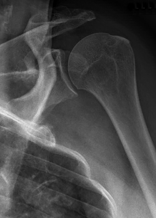
Efter reponering

Bakre luxation, patienten hade mycket ont, kunde inte röra axeln alls. På frontalbilden ligger kaput roterat, på sidobild ligger kaput inte rätt i leden, på 3D-rekonstruktion syns felställningen tydligt (delar av nyckelben och akromion bortredigerade).
Vid misstanke om axelluxation:
- Kontrollera distalstatus inkl. n. axillaris (sensorik lateralt på överarmen).
- Slätröntgen av axel. Inte absolut nödvändigt vid recidiv. Vid misstanke om bakre luxation så kan det krävas DT-undersökning.
- OBS 1: vid luxation, samtidig avlösning av tuberkulum majus och ålder > 60 år: reponera i narkos, annars risk för kollum kirurgikum-fraktur. [4]

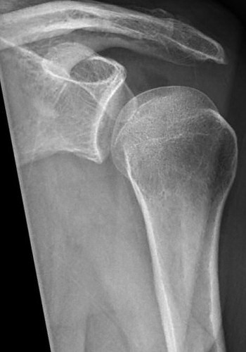
Axelluxation med avlöst tuberkulum majus innan och efter reponering i narkos. Efter reponering förbättrat läge men även misstänkt bony bankart-skada med litet fragment inferiort om glenoiden.
- OBS 2: vid luxation och minsta tecken till kollum kirurgikumfraktur: reponera i narkos, annars risk för stor felställning. [3]
- Annars reponering så snart som möjligt:
- Smärtlindra (ofta 5 mg morfin i.v.) och ge muskelavslappnande (t.ex. 0,5-1 mg midazolam i.v.) och vänta några minuter på effekt. Ett alternativ kan vara att injicera ca 10 ml lokalbedövning in i leden, från lateralsidan där kaput borde ligga.
- Reponering med valfri metod, t.ex.:
- Stimsons metod:
- Patienten ligger på mage med armen hängande utanför britsen.
- Fäst en tyngd, ca 3-5 kg, runt patientens handled (alternativt låt någon dra i armens längsriktning).
- Efter 10-20 minuter kan kaput glida tillbaka till rätt plats.
- Milch metod:
- Patienten ligger på rygg.
- Armen abduceras maximalt, gärna 180°.
- Dra i armens längsriktning, utåtrotera och pressa med andra handen caput humeri i ventral riktning i axillen.
- Kocher
- Patienten sittande eller liggande på rygg.
- Långsamma rörelser.
- Flektera armbåge 90°.
- Utåtrotera arm tills det tar emot.
- För armen framåt, över patientens bröstkorg.
- Inåtrotera armen så handen kommer på andra axeln, förhoppningsvis glider då den luxerade axeln på plats.
- Modifierad Hippokrates metod:
- Patienten ligger på rygg.
- Placera ett lakan eller liknande som ett U i armhålan och snett uppåt mot patientens andra sida. En assistent håller emot i lakanets ändar.
- Dra armen i kroppens längsriktning en stund så musklerna hinner slappna av, för armen i lätt abduktion och flektion.
- Vid luxatio erecta (interponat av m subskapularis, armen kan ibland stå abducerad):
- Drag i axell riktning under hela manövern
- Tryck caput humeri i distal riktning och adducera armen
- Om det inte går att reponera så anmäl för reponering i narkos.
- Ny kontroll av distalstatus inkl. n. axillaris.
- Kontrollröntgen av axel.
- Kan få collar'n'cuff i upp till en vecka i smärtstillande syfte. [2]
- Undvik provocerande axelrörelser i 2-4 månader (kast, dykning, halka m.m.). [2]
- Remiss till fysioterapeut för stabiliserande träning.
Vid recidiv där förstagångsluxationen var traumatisk: beställ gärna poliklinisk DT och återbesök till axelspecialist inom några månader för ställningstagande till stabiliserande operation. [1]
Multidirektionell instabilitet (MDI): överrörlig patient, axeln kan hoppa ur led spontant eller vid ringa trauma. Det hjälper inte med kirurgi utan behandlingen är att försöka undvika luxationer.
Vid misstanke om rotatorkuffskada, främst hos medelålders eller äldre: beställ MR inom några veckor och instruera att boka återbesök när denna är gjord, helst till axelspecialist.
Vid odislocerad bony bankart-skada: reponera enligt ovan. Sätt axellås i 2-3 veckor, i övrigt enligt ovan.
Vid dislocerad bony bankart-skada: beställ DT, diskutera med bakjour/axelspecialist om fortsatt handläggning och ev operation.
Vid skada på axillarisnerv, se Skada n. axillaris.
ICD-10
- S43.0: Luxation i skulderled
Referenser
- Axelluxationer - Handläggning på akutmottagningen, SU (giltig från 2024-12-12)
- Axel - Axelluxation - FYS, SU (giltig från 2018-07-05)
- ATOUN, Ehud, et al. Management of first-time dislocations of the shoulder in patients older than 40 years: the prevalence of iatrogenic fracture. Journal of orthopaedic trauma, 2013, 27.4: 190-193
- WRONKA, Konrad Sebastian; VED, Abhimanyu; MOHANTY, Khitish. When is it safe to reduce fracture dislocation of shoulder under sedation? Proposed treatment algorithm. European Journal of Orthopaedic Surgery & Traumatology, 2017, 27.3: 335-340
Uppdaterad: 2025-09-11 19:30:02 av Lars Johanson