Skada: Spondylodiskit/epiduralabscess
Hos barn är det relativt vanligt med isolerad diskit, hos vuxna mer blandbild med spondylit och epiduralabscess.
Definitioner
- Diskit: infektion i disk
- Spondylit: infektion i ryggkota
- Epiduralabscess: infektion i epiduralrummet
Symtom
- Akut påkommen lokaliserad smärta i ryggkota, distinkt dunkömhet
- Feber, frossa
- Nedsatt rörlighet i rygg p.g.a. smärta
- Ibland nervpåverkan
- Förhöjda inflammationsparametrar
Diagnos
MR helrygg med kontrast, sensitivitet och specificitet ca 93-97 %, vid negativ MR men fortsatta symtom kan ny MR göras efter några dagar [3].

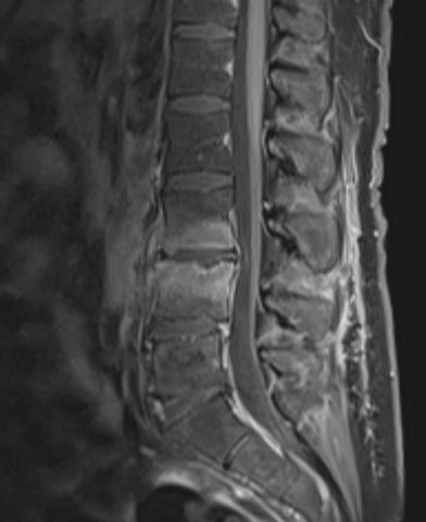
Spondylodiskit L3-L4, T1-viktad MR-bild med gadoliniumkontrast
Handläggning
Vid septisk patient: intravenös bredspektrumantibiotika snarast + vätska + syrgas vid behov enligt vanligt septiskt omhändertagande, odling från blod + urin + ev. NPH. Bakjour och ev. ryggjour kontaktas även nattetid.
Annars:
- DT eller slätröntgen brukar göras akut, visar inte infektion men kan visa destruktion och för differentialdiagnostik
- Avvakta med antibiotika tills odlingar är tagna
- Neurologisk undersökning
- Odling från blod, urin, sår om det finns
- Om möjligt punktion med odling från kota/disk
- MR helrygg inom 1 dygn
- Vid ryggoperation med implantat i anslutning till infektionen:
- Senaste 1 månad:
- Troligen snar öppen operation med odling, debridering och spolning [1]
- Tidigare operation:
- Troligen extraktion av implantat [1]
- Vid neurologiska bortfall eller destruktion av kota:
- Sängläge (eller stabiliserande ortos) [2, 3]
- Ställningstagande till kirurgisk stabilisering [1, 2, 3]
- Vid epiduralabscess: troligen öppen dränering [1]
- Diskussion med infektionsläkare, ofta intravenös antibiotika (cefotaxim 2 g x 3 tills odlingssvar) 1-4 veckor, därefter peroral antibiotika, total behandlingstid 3 månader eller till normaliserade inflammationsparametrar [3]
ICD-10
- M46.2: Osteomyelit i kota
- M46.3: Infektion (varig) i intervertebraldisk
- M46.4: Inflammation i intervertebraldisk, ospecificerad
- M46.5: Andra infektiösa spondylopatier
Referenser
- Ortopedi - patofysiologi, sjukdomar och trauma hos barn och vuxna av Magnus Karlsson, Jón Karlsson och Harald Roos, ISBN 978-91-44-09084-9
- Osteomyelit och spondylodiskit, vuxna, internetmedicin.se (besökt 2019-08-18)
- Led- och skelettinfektioner – Vårdprogram från SILF (besökt 2019-08-18)
Uppdaterad: 2024-12-14 22:20:43 av Lars Johanson