Skada: Fraktur distal radius (handledsfraktur)
Innehåll
Klassificering
Det finns flera olika klassificeringar, några vanligt använda är:
- Extra-/intraartikulär.
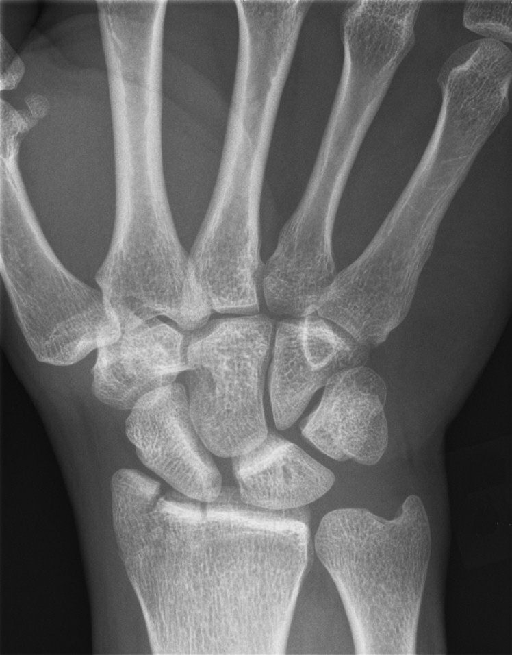
- Colles: extraartikulär, distala fragmentet är felställt dorsalt.

Colles fraktur, dorsalställd extraartikulär
- Smiths: extraartikulär, distala fragmentet är felställt volart.
- Bartons: intraartikulär, finns både dorsal och volar typ, motsvarar Colles och Smiths men intraartikulär.
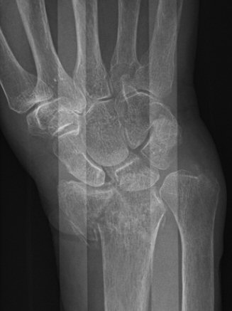
- Chauffeur: avlösning av proc. styloideus radii. Kan bero på luxation av handled, med associerade allvarliga ligamentskador.

Chauffeur-fraktur
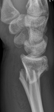
- Die-punch: inpressad ledyta efter kompression vid axialt våld.

Die-punch-fraktur i distala radius
Det är vanligt med avlösning av toppen av proc. styloideus ulnae, det spelar ingen roll för handläggningen. Om större del av ulnatoppen är frakturerad så innebär det risk för skada i DRU-leden.
På akutmottagning
De flesta kan behandlas icke-kirurgiskt, med gips. Några tänkbara fall:
Gammal fraktur
Efter 2 veckor så sitter en handledsfraktur ihop och är svår att åtgärda kirurgiskt, efter 4 veckor är den läkt. Om det gått > 14 dagar från trauma så är huvudalternativet att behandla med gips tills det gått 4 veckor efter trauma och se hur läget blir. Vid kraftig felställning och höga krav så kan man operera till nästan 4 veckor, det är troligen enklare än att göra korrektionsosteotomi senare.
Odislocerad fraktur
Dorsal gipsskena i 4 veckor, behöver normalt ej återbesök utan kan få med sig remiss till arbetsterapeut från akuten för hjälp med avgipsning efter 4 veckor och därefter handledsträning. Chauffeur-fraktur bör kontrolleras åtminstone efter en vecka även om den är odislocerad.
Samtidig fraktur/instabilitet i distala ulna [1]
Vid endast ulnastyloidfraktur: behandlas på samma sätt som utan denna fraktur.
Vid DRU-ledinstabilitet: åtgärd bör övervägas.
Vid metafysär fraktur: konsensus saknas, disktuera med bakjour.
Dislocerad fraktur hos patient med höga funktionskrav, som önskar belasta handleden tungt [1]
Reponera och sätt dorsal gipsskena vid dorsal vinkelfelställning, volar gipsskena vid volar vinkelfelställning. Vid alltför dåligt utgångsläge, eller ej acceptabelt läge efter reponering så planeras för operation. DT kan behövas för preoperativ planering vid komplexa frakturer.
1. Vid dåligt ursprungsläge med något av följande, så förbered för poliklinisk operation inom 7 dagar:
- Komminut volart kortex
eller
- Volar vinkelfelställning > 15°
eller
- Felställd intraartikulär fraktur
eller
- Alla av:
- Osteoporos eller osteopeni
och
- Dorsalt komminut
och
- Dorsal vinkelfelställning > 30° eller radial inklination < 10° eller ulna plus > 3 mm
2. Vid ej acceptabelt läge efter reponering, med något av följande, så förbered för poliklinisk operation inom 7 dagar:
- Dorsal vinkelfelställning ≥ 10°
eller
- Volar vinkelfelställning ≥ 15°
eller
- Radial inklination ≤ 15°
eller
- Ulnaplus ≥ 2 mm
eller
- Steg i ledyta ≥ 2 mm
eller
- Volara kortex ej upplinjerat
eller
- Ulnarisering av radiusskaftet ≥ 2 mm
eller
- Inkongruent DRU-led
3. Annars, vid acceptabelt läge efter reponering:
- Boka återbesök med röntgenkontroll efter 10 (9-13) dagar.
- Boka in en kontakt (fysisk, digital eller telefon) med arbetsterapeut inom 1-2 veckor.
Dislocerad fraktur hos patient med måttliga funktionskrav
Reponera och sätt dorsal gipsskena vid dorsal vinkelfelställning, volar gipsskena vid volar vinkelfelställning. Vid alltför dåligt utgångsläge, eller ej acceptabelt läge efter reponering så planeras för operation. DT kan behövas för preoperativ planering vid komplexa frakturer.
1. Vid dåligt ursprungsläge med något av följande, så förbered för poliklinisk operation inom 7 dagar:
- Komminut volart kortex
eller
- Volar vinkelfelställning > 15°
eller
- Felställd intraartikulär fraktur
eller
- Alla av:
- Osteoporos eller osteopeni
och
- Dorsalt komminut
och
- Dorsal vinkelfelställning > 30° eller radial inklination < 10° eller ulna plus > 3 mm
2. Vid ej acceptabelt läge efter reponering med något av följande, så förbered för poliklinisk operation inom 7 dagar:
- Dorsal vinkelfelställning ≥ 20°
eller
- Volar vinkelfelställning ≥ 15°
eller
- Radial inklination ≤ 10°
eller
- Ulnaplus ≥ 3 mm
eller
- Steg i ledyta ≥ 2 mm
eller
- Volara kortex ej upplinjerat
eller
- Inkongruent DRU-led
3. Annars, vid acceptabelt läge efter reponering:
- Boka återbesök med röntgenkontroll efter 10 (9-13) dagar.
- Boka in en kontakt (fysisk, digital eller telefon) med arbetsterapeut inom 1-2 veckor.
Dislocerad fraktur hos patient med låga funktionskrav
1. Vid något av följande:
- Uttalad felställning
- Nerv- eller cirkulationspåverkan
- Hudproblem
så reponera slutet och sätt dorsal gipsskena vid dorsal vinkelfelställning, volar gipsskena vid volar vinkelfelställning. Kontrollera distalstatus efter gipsning. Vid avvikande status så förbered för operation, vid cirkulationsstörning så urakut, annars prioritet beroende på status.
2. Annars: sätt dorsal gipsskena vid dorsal vinkelfelställning, volar gipsskena vid volar vinkelfelställning. Det behövs i normalfallet ingen röntgenkontroll, men boka:
- Kontakt med arbetsterapeut 1-2 veckor efter gipsning
- Besök till arbetsterapeut för avgipsning och arbetsterapi 4-5 veckor efter traumat
Reponering
- Lägg hematombedövning:
- Palpera fram frakturen på underarmens dorsalsida.
- Injicera 10-15 ml Carbocain® i frakturspalten om möjligt, använd svart nål. Man behöver inte träffa exakt i spalten.
- Vänta 10-15 minuter så bedövningen hinner verka innan reponeringsförsök.
- Reponera frakturen, det finns många olika sätt. Ett vanligt sätt att reponera dorsalbockad radiusfraktur är att dra i tumme och pekfinger i några minuter medan en assistent håller emot ovanför armbågen, sedan dorsalextendera handleden och därefter trycka på det distala radiusfragmentet dorsalt medan man återför handen i neutralläge.
- Sätt dorsal gipsskena vid dorsalbockning resp. volar gipsskena vid volarbockning, (8 lager, 15 cm bred, från knogar till distalt om armbåge) under fortsatt traktion i tumme och pekfinger, håll kvar några minuter tills gipset stelnat.
- Kontrollera distalstatus.
- Kontrollröntga.
- Vid ej acceptabel felställning så kan man göra ett nytt försök med reponering, gipsning och röntgen.
Sjukskriv vid behov upp till 8 veckor.
Vid återbesök
- Kontrollera gips och efterfråga gipsproblem
- Kontrollera distalstatus
- Beräkna 10 års frakturrisk med FRAX. Om ≥ 15 % risk så diskutera om patienten vill ha remiss till osteoporosmottagningen.
- Undersök röntgenbilden:
- Om frakturen rört på sig:
- Ej acceptabelt läge: förbered snar poliklinisk operation
- Fortfarande acceptabelt läge enligt ovan: överväg snar poliklinisk operation, räkna med att frakturen kan återta sitt ursprungliga läge.
- Annars, frakturen stabil i gips: skriv remiss till arbetsterapeut för hjälp med avgipsning 4-5 veckor efter trauma och därefter handledsträning.
- Undvik belastning 6 veckor från trauma, börja sedan med lätta vikter (max 0,5 kg)
- Förväntad rehabiliteringstid 12 veckor till 12 månader
ICD-10
- S52.5: Fraktur på nedre delen av radius
- S52.50: Fraktur på nedre delen av radius, sluten
- S52.51: Fraktur på nedre delen av radius, öppen
- S52.6: Fraktur på nedre delen av både ulna och radius
- S52.60: Fraktur på nedre delen av både ulna och radius, sluten
- S52.61: Fraktur på nedre delen av både ulna och radius, öppen
- Z09.4C: Kontroll efter fraktur på armbåge/underarm
Åtgärdskoder
- NCJ09: Sluten reposition av fraktur i armbåge eller underarm
- TNC32: Modellerbar skena-Armbåge och underarm
Referenser
- Nationellt vårdprogram för behandling av distala radiusfrakturer (besökt 2021-04-25)
- Hand – Distal radius och eller ulnafraktur – ARB, SU (besökt 2024-12-21)
- ABC om Distal radiusfraktur hos vuxna (publicerad 2018-02-14)
Uppdaterad: 2024-12-21 19:31:47 av Lars Johanson