orto.nu

START - Skador barn - Fotled/fot - Köhlers sjukdom

Skada barn: Köhlers sjukdom (barn)

Synonymer (barn)

Köhler typ 2: Freibergs sjukdom

Klassifikationer (barn)

Typ 1: nekros os navikulare [1]

Typ 2: nekros metatarsalbenshuvud, oftast dig 2 [1]

Orsaker (barn)

Avaskulär bennekros, oklar anledning.

Symtom (barn)

Typ 1:

  • Hälta [1, 3]
  • Värk [1, 2, 3]
  • Ömhet och svullnad runt os navikulare [1, 2]
  • Ofta pojkar 3-5 år, även hos flicker 2-4 år [1]
  • Kan vara asymtomatisk [2]

Typ 2:

  • Lokal smärta, ömhet, minskad rörlighet [1, 3]
  • Ofta flickor i tidiga tonår [1, 3]

Diagnos (barn)

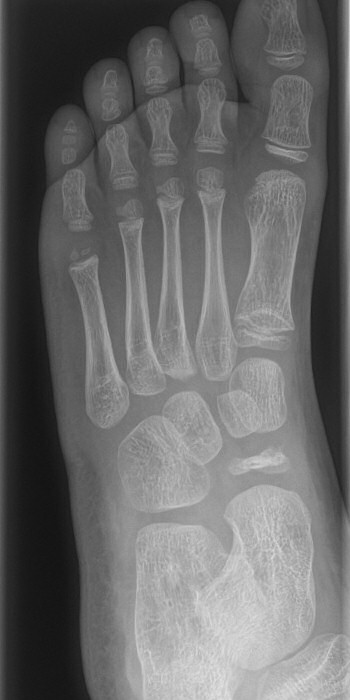
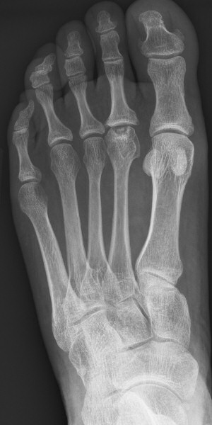
Slätröntgen som visar skleros, fragmentering och tillplattat os navikulare [1, 2] resp. huvud av metatarsalben [1].

 
Första bilden visar Köhler typ 1 med tillplattat os navikulare, andra bilden resttillstånd efter Köhler typ 2 i kaput metatarsale 2.

Handläggning (barn)

Båda tillstånden läker självt.

  • Avlastande inlägg
  • Minskad aktivitet
  • Gärna skor med rullsula
  • Typ 1:
    • Kan behandlas med belastad gipsstövel i 4-6 veckor [1, 2]
    • Blir på sikt helt återställd, både kliniskt och på röntgenbild [2, 3]
  • Typ 2:
    • Kan ge minskad rörlighet [1]
    • Blir inte helt återställd på röntgenbild [1, 3]

ICD-10 (barn)

  • M92.9: Juvenil osteokondros, ospecificerad

Referenser (barn)

  1. Ortopedi - patofysiologi, sjukdomar och trauma hos barn och vuxna av Magnus Karlsson, Jón Karlsson och Harald Roos, ISBN 978-91-44-09084-9
  2. Kohler's Disease på orthobullets.com (besökt 2022-01-12)
  3. Fotbesvär hos barn på 1177.se (besökt 2022-01-12)

Uppdaterad: 2022-01-12 19:35:05 av Lars Johansson
Om webbsidan | Om copyright | Om cookies