Skada: Osteokondrit
Synonymer
- Osteochondritis dissecans
- OCD
- OD
Bakgrund
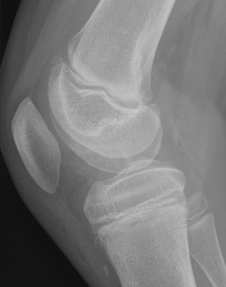
En broskbit med underliggande ben lossnar från metafys. Vanligast i mediala femurkondylen i ålder 10-19 år men kan hända i de flesta leder och även hos vuxna. [1, 2]

Osteokondrit i mediala femurkondylen hos 10-åring
Orsaker
- Ökad risk hos idrottsaktiva ungdomar
Symtom
- Värk som ökar vid belastning
- Svullnad
- Kan ge låsningar
Diagnos
Röntgen, helst DT. Vid låsningar bör MR eller artroskopi utföras [1].
Handläggning
- Om fragmentet ligger på plats enligt röntgenbild, och antingen ung med öppna fyser eller vuxen utan symtom: [1, 2]
- Minskad belastning:
- Belasta till smärtgräns. Kan innebära kryckor i perioder
- Undvik pivoterande hopp och repetitiv belastning
- Om ej förbättrad inom 2 år: överväg artroskopisk operation med stiftning av fragmentet [1]
- Vid symtom från knä och ålder > 60 år: överväg protes [2]
- Vid låsningar: MR, artroskopi eller öppen operation med fixation av fragment, vid helt löst fragment extraktion av detta och mikrofrakturering eller annan återskapning av brosk [1]
ICD-10
- M93.2: Osteochondritis dissecans
- M93.2B: Osteochondritis dissecans i axelled/överarm
- M93.2C: Osteochondritis dissecans i armbåge/underarm
- M93.2F: Osteochondritis dissecans i höftled/lårben
- M93.2G: Osteochondritis dissecans i knäled/underben
- M93.2H: Osteochondritis dissecans i fotled/fot
- M93.2X: Osteochondritis dissecans med ospecificerad lokalisation
Referenser
- Knäskador vanliga bland idrottande barn, Läkartidningen 2013-04-09 nummer 15 (besökt 2019-12-12)
- Osteochondritis Dissecans på orthobullets.com (besökt 2019-12-12)
Uppdaterad: 2021-11-17 06:50:44 av Lars Johanson