Skada barn: Osgood Schlatters sjukdom (barn)
Orsaker (barn)
Upprepad överbelastning i patellarsenans distala fäste, tuberositas tibiae [2]
Symtom (barn)
- Smärta/ömhet och svullnad över tuberositas tibiae, särskilt vid och efter belastning eller vid knästående [1, 2]
- Ofta bilateralt [2]
- Vanligast hos pojkar i ålder 12-15 år [1]
- Ökad risk vid mycket hoppträning eller kortdistanslöpning [1]
Handläggning (barn)
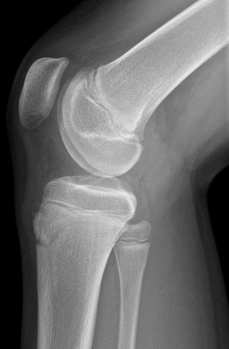
- Slätröntgen med sidobild av knä, kan visa visa benfragment i tuberositas tibiae [1]

Exempel på diskreta schlatter-förändringar i tuberositas tibiae
- COX-hämmare [1], eller NSAID-gel [2]
- Anpassad, men inte upphörd aktivitet [1, 2]
- Stretchning av quadriceps [1]
- I undantagsfall: operation med excision av fragment [1]
- Läker ut när tillväxten avslutats [1]
ICD-10 (barn)
- M92.5A: Osteokondros, juvenil, i tuberositas tibiae
Referenser (barn)
- Osgood Schlatter's Disease (Tibial Tubercle Apophysitis) på othobullets.com (besökt 2021-11-15)
- Morbus Schlatter. Schlatters sjukdom. Osgood-Schlatters sjukdom. på praktiskmedicin.se (besökt 2021-11-15)
Uppdaterad: 2026-03-09 12:27:49 av Lars Johansson