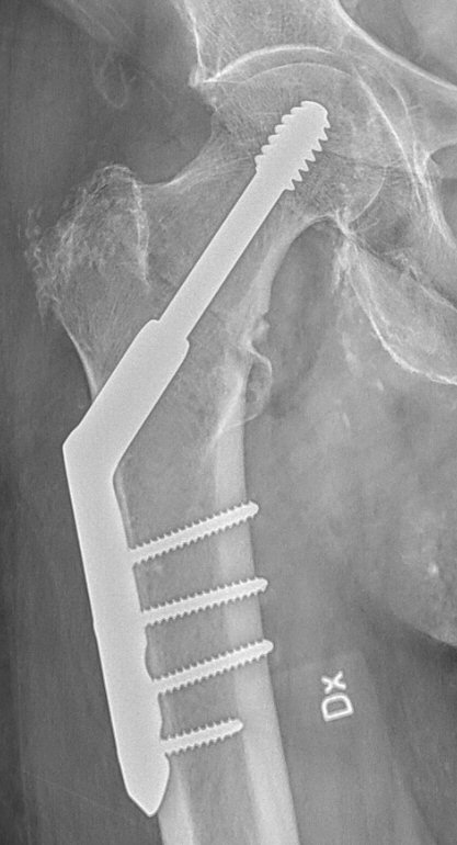
Operation: DHS-platta
Definitioner
DHS = Dynamic Hip Screw
Indikationer
- Kan användas vid många kollumfrakturer, pertrokantära och subtrokantära femurfrakturer.
- Används i praktiken mest vid basocervikala och stabila pertrokantära femurfrakturer.
Förberedelser
- Läs manualen
- Ryggläge med sträckbord.
- Antibiotikaprofylax: 3 doser kloxacillin 2 g i.v. Första dosen 0,5 timme innan operationsstart, därefter 2 resp. 6 timmar efter första dosen.
- Biplansgenomlysning.
- Partikeltäta operationskläder (ortopedkläder) och röntgenskydd.
- Det finns olika plattor med olika antal skruvhål, med eller utan LCP, med olika vinklar, med eller utan stabiliserande trokanterplatta och med glidskruv eller glidblad. Ofta väljs 4-hålsplatta utan LCP, utan trokanterplatta och med glidskruv.
Utförande
- Reponera under genomlysning innan tvättning - typiskt genom sträck och inåtrotation.
- Bestäm snittplacering i genomlysning.
- Rita ut horisontell linje motsvarande femur.
- Rita ut vertikal linje motsvarande den tänkta glidskruven - centralt i kaput och centralt genom kollum.
- Markera skärningspunkten för dessa linjer. Tänk på att femur ligger inbäddat i mjukdelar, det är skärningspunkten för glidskruven och femurskelettet man vill finna.
- Ett alternativ är att börja snittet vid laterala spetsen av trokanter major.
- Gör ett horisontellt snitt från skärningspunkten och ca 10 cm distalt, kaput ligger ventralt om femur, så för att komma rätt så gör snittet 1-2 cm dorsalt om medellinjen i femur så att man senare jobbar "uppåt" i såret.
- Använd kniv eller diatermi genom subcutis. Blodstilla vid behov.
- Gå vasst igenom fascia lata, alt. mindre incision med kniv och öppna sedan med öppen sax.
- Dela muskulatur atraumatiskt, alternativ 1:
- Känn i såret, finn en punkt ganska proximalt där vastus lateralis har ett veck, det känns “tunnare”
- Stoppa in en stängd sax där, dra den distalt längs med muskelfibrerna så muskeln delar sig relativt atraumatiskt
- Dela muskulatur atraumatiskt, alternativ 2:
- Använd lambotte, först med bladet längsgående med femur, tryck igenom muskulatur och för den i distal/proximal riktning så muskulaturen delar sig.
- Vrid sedan lambotten så den blir tvärgående, skrapa av periost lateralt på femur.
- Använd borrmall, se till att mallen ligger helt mot benet! Detta är det viktigaste momentet:
- Borra in en k-tråd motsvarande glidskruvens läge. I sidobild ska man gå in dorsalt om femurs centrumlinje, på frontalbild ungefär vid trokanter minors distala kant.
- Se till att k-tråden slutar centralt i kollum både i frontalplan och sidovyn. Det gör inget om den går nära kalkar men ska inte penetrera denna.
- K-trådens ände ska ligga ca 5 mm från caputs broskkant. Kontrollera i genomlysning. Använd mallen för att lokalisera var plattan ska sitta, kontrollera i frontal- och sidobild.
- Man kan vid behov sätta k-tråd för att stabilisera frakturen under tiden man borrar, gängar och skruvar, kaput kan annars rotera.
- Mät med mätsticka hur lång glidskruven ska vara - dra av 5-10 mm från värdet på stickan. T.ex. uppmätt 90 mm, välj 80 mm glidskruv.
- Ställ in reamern på det uppmätta värdet (80 mm i exemplet ovan), reama manuellt (eller med maskin). Det är viktigt att reamern går hela vägen in!
- Vid hårt skelett: för-gänga hålet, skruva gängtapp manuellt två varv i taget framåt och ett bakåt.
- Skruva in glidskruven (80 mm i exemplet ovan), se till att avsluta med handtaget parallellt med femur.
- För in DHS-plattan i hålet över glidskruven. Banka lätt med pusher så plattan ligger helt mot benet. En del föredrar att skruva ut glidskruven en aning, plattan ligger då lite snett i såret, men det kan vara lättare att få den på plats och sedan skruva in glidskruven igen.
- Borra bikortikalt för ett av hålen i DHS-plattan, det första hålet kan gärna borras lite proximalt i hålet så plattan trycks i proximal riktning, det gör att den även trycks in mot benet.
- Mät med mätsticka - avrunda uppåt, skruva i skruven.
- Fortsätt på samma sätt med de övriga skruvarna, mest distala skruven kan gärna sättas unikortikalt.
- Skruva åt alla skruvarna en extra gång.
- Lagra peroperativa bilder om det inte är gjort.

- Skölj ur såret med koksaltlösning.
- Injicera LIA vid behov.
- Suturera fascia lata med resorberbar tråd 1 eller 2, kan ha fortlöpande sutur.
- Suturera subcutis i 1 eller 2 lager med resorberbar tråd 2-0.
- Förslut såret med något av:
- intrakutana suturer ca 3-0
- enstaka suturer, gärna stående madrass, icke resorberbar ca 3-0
- agraffer
- Skriv operationsberättelse, röntgenremiss och registrera åtgärden i frakturregistret. Postoperativa ordinationer:
- postoperativ kontrollröntgen
- full belastning
- trombosprofylax 4 veckor
- sutur-/agrafftagning 2-3 veckor postop
ICD-10
- S72.00: Kollumfraktur, sluten.
- S72.01: Kollumfraktur, öppen.
- S72.10: pertrokantär femurfraktur höger.
Åtgärdskoder (KVÅ)
- NFJ09: Sluten reposition av femurfraktur.
- NFJ19: Öppen reposition av femurfraktur.
- NFJ69: Osteosyntes av femurfraktur med platta och skruvar.
Referenser
Uppdaterad: 2024-12-22 16:20:35 av Lars Johanson