Skada barn: Osteogenesis imperfecta (barn)
Synonymer (barn)
Klassificering (barn)
Det finns 17 typer, de vanligaste är typ 1-4 där:
- Typ 1: mild variant, inte alltid diagnostiserad
- Typ 2: dödlig perinatalt
- Typ 3: allvarlig, har frakturer vid födsel
- Typ 4: Mindre allvarlig
Vårdnivå (barn)
- Allvarligare former har kontakt med OI-team på Astrid Lindgrens Barnsjukhus
- Akuta skador och lindriga former kan handläggas lokalt. Gärna med kontakt med OI-teamet på Astrid Lindgrens Barnsjukhus.
Symtom (barn)
Stor variation i symtom för de olika typerna. Kan ha:
- Upprepade diafysära frakturer
- Deformerat skelett
- Skolios
- Kortvuxenhet
- Överrörliga, instabila leder - t.ex. valgusbelastad fotled
- Smärtor
- Hörselnedsättning
- Ökad blödningsrisk
- Blåfärgade ögonvitor
- Hjärtklaffsinsufficiens
- Dentinogenesis imperfecta
- Hypertermi/svettning
- Basilär impression
Orsaker (barn)
- Ärftlig, en del mutationer ärvs autosomalt dominant, andra recessivt
- Nymutation är relativt vanligt
- Ger defekt kollagen 1, all bindväv drabbas - skelett, hud, kärl och ligament
Förekomst (barn)
Ca 10 barn föds med osteogenesis imperfecta i Sverige varje år.
Diagnos (barn)
- Upprepade diafysära femur-, humerus- och tibiafrakturer kan tyda på OI
- Familjehistoria, frakturer/kurveringar, röntgenfynd, analys av kollagen, DNA-analys
- Diagnostiseras oftast på OI-teamet på Astrid Lindgrens Barnsjukhus
Handläggning (barn)
Akuta skador:
- Allmänt:
- Minimera antal röntgenundersökningar då patienten kommer att få hög livstidsdos av röntgenstrålning
- Vid diafysära frakturer:
- Undvik femursträck
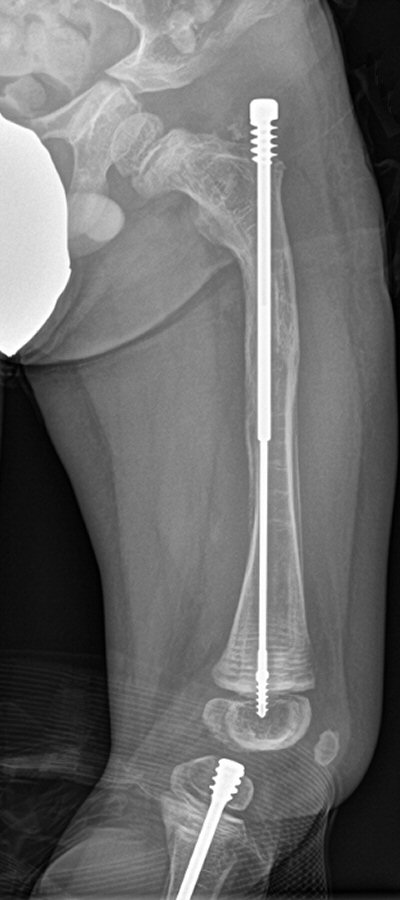
- Använd i första hand märgspikning med god upplinjering
- Vid gipsbehandling:
- Använd gärna lindningar (vid små barn), mjukgips eller lätta gipsar
- Ha så kort gipstid som möjligt, annars risk för försvagning pga. låg belastning
- Diskutera gärna med OI-teamet på Astrid Lindgrens Barnsjukhus
Underhållsbehandling:
- Bisfosfonater
- Fysio- och arbetsterapi
- Profylaktisk märgspikning av långa rörben

Barn med osteogenesis imperfecta vid 6 månader, 2 år resp. 7 år
ICD-10 (barn)
- Q78.0: Osteogenesis imperfecta
Referenser (barn)
- Barnortopedikurs på Astrid Lindgrens Barnsjukhus 2021-09-27 - 2021-10-01
- Osteogenesis imperfecta på socialstyrelsen.se (besökt 2022-01-25)
Uppdaterad: 2024-11-20 19:39:33 av Lars Johansson