Skada barn: Traumatisk höftledsluxation (barn)
Symtom (barn)
Vid ålder < ca 10 år kan det räcka med lindrigt trauma, exempelvis fall vid idrottsutövande, vid ålder > 10 år krävs ofta högre energi. [1, 2]
- Kraftig smärta
- Synlig felställning, ofta förkortat ben med höft i flektion, adduktion och inåtrotation. [1]
Diagnos (barn)
Röntgenundersökning
Handläggning (barn)
- Gärna kontakt med barnortoped. Typiskt:
- Undersök hela benet, det är vanligt med associerade skador på t.ex. kollum femoris och knä [2]
- Undersök och dokumentera distalstatus
- Utred ev. skelettskada med DT [2]
- Reponera i narkos snarast möjligt (inom 6 timmar, alltså även nattetid) [1, 2]:
- Använd genomlysning [1]
- Flektera höft [1]
- Dra i benets längsriktning [1]
- Rotera försiktigt [1]
- Efter reposition:
- Kontrollera stabilitet [1]
- Lagra röntgenbilder [1]
- Eventuellt sträckbehandling om inte stabilt reponerat [2]
- Vid samtidig operationskrävande fraktur i bäcken/acetabulum: kan göras senare, men inom 24 timmar [2]
- Stegmarkering 6-8 veckor [2]
- Reponera öppet om något av:
- Ej möjligt att reponera slutet [1]
- Ej optimalt läge efter reposition [1]
- Fragment i leden [1]
- Fraktur i huvud, hals eller acetabulum [1]
- MR (DT om MR ej tillgängligt) inom 24 timmar med frågeställning osteokondrala skador och läge [2]
- Uppföljning hos barnortoped med röntgen 1 gång/år under 2 år för att upptäcka avaskulär nekros eller posttraumatisk artros [2]
- Oftast god prognos vid snabb och lyckad reposition [1]

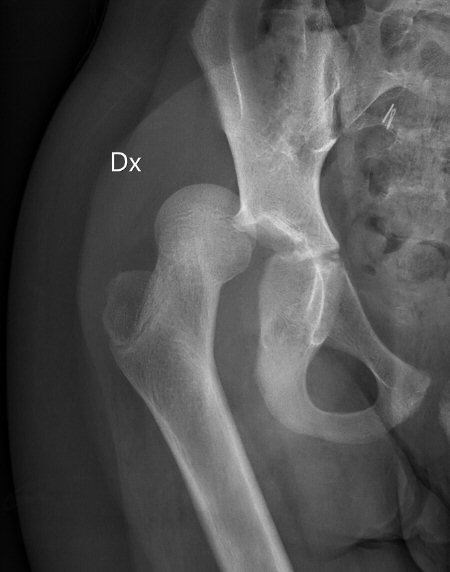
Exempel på höft hos 10-åring som luxerat efter lindrigt trauma
ICD-10 (barn)
Referenser (barn)
- Traumatic Hip Dislocation - Pediatric på orthobullets.com (besökt 2023-01-10)
- Barnfrakturer och luxationer i öppenvård Astrid Lindgrens Barnsjukhus, giltig från 2024-08-22 (besökt 2024-12-12)
Uppdaterad: 2024-12-12 06:44:50 av Lars Johansson