Operation: Lång gammaspik med öppen reponering
Indikationer
- Pertrokantär fraktur
- Subtrokantär femurfraktur
- Femurfraktur ner till 10 cm proximalt om interkondylär notch
Förberedelser
- Läs manualen.
- Ryggläge med sträckbord, vid komminut fraktur eller varusfelställning eventuellt i sidoläge.
- Antibiotikaprofylax: 3 doser kloxacillin 2 g i.v. Första dosen 0,5 timme innan operationsstart, därefter 2 resp. 6 timmar efter första dosen.
- Biplansgenomlysning.
- Partikeltäta operationskläder (ortopedkläder) och röntgenskydd.
Utförande
- Reponera under genomlysning innan tvättning - typiskt genom sträck och neutral rotation, eller vid pertrokantär fraktur möjligen inåtrotation, samt adduktion för att komma åt att sätta in spiken.
Om det är svårt att reponera slutet exempelvis då frakturen ligger i kraftig varus kan det vara klokt att reponera öppet innan man reamar, annars kan man få fel ingångsvinkel i proximala fragmentet.
- Steriltvätta.
- Bestäm snittplacering i genomlysning:
- Rita ut horisontell linje motsvarande centralt på femur.
- Rita ut vinkelrät vertikal linje vid trokanter majors proximala kant.
- Gör ett horisontellt snitt ca 2 cm proximalt om skärningspunkten, mer vid obesitas, ca 2-3 cm långt.
- Gå in till fascia lata, dela denna längsgående. Känn efter med ett finger så du hittar toppen av trokanter major.
- Guidevajer alternativ 1:
- Borra med guidevajer 3,2 mm, sikta på toppen på frontalvyn, och 1/3 av avståndet från anteriora kanten mot posteriort i sidovyn (motsvarar centralt i femur).
- Guidevajer alternativ 2:
- Använd en kurverad pryl (awl) för att penetrera kortex, sikta på toppen på frontalvyn, och 1/3 av avståndet från anteriora kanten mot posteriort i sidovyn (motsvarar centralt i femur).
- För in 3 mm guidevajer med boll i toppen.

Kurverad pryl med guidevajer
- Kontrollera i genomlysning att guidevajern ligger inne i benet.
- För ner guidevajern ända ner till kondylnivå. Om den fastnar i frakturnivå:
- Prova att böja änden åt ena sidan, när den fastnar så vrid vajern med plattång.
- Prova med att föra ner reduktionsinstrument ("fingerpetare"), en lång metallstång med urgröpning i ena sidan som man kan använda fär att reponera frakturen inifrån.
- Reponera öppet:
- Lokalisera frakturen i genomlysning.
- Gör snitt “lagom stort” för reponeringen, lateralt, ungefär i centrum av femur vid frakturen.
- Gå in till benet, splitta fascia lata vasst, dissekera ned till frakturen.
- Använd gärna reduktionsspatel för reduktion, för in den ventralt/medialt om frakturen och pressa i dorsal riktning.
- Justera med sträckbordet och med låsbar frakturhållartång tills frakturen ligger bra.
- Använd apexpinnar:
- Gör liten incision lateralt, distalt om frakturen, öppna fascia och ner till benet exempelvis med sax.
- Skruva in benskruv apex, använd manuellt T-handtag och låt det sitta kvar.
- Gör på liknande sätt proximalt om frakturen, vid proximal fraktur så i kollum femoris, incision i så fall ventralt, kontrollera läget i genomlysning.
- Med hjälp av de två apexpinnarna med handtag bör det gå att reponera frakturen och föra ner guidevajern.
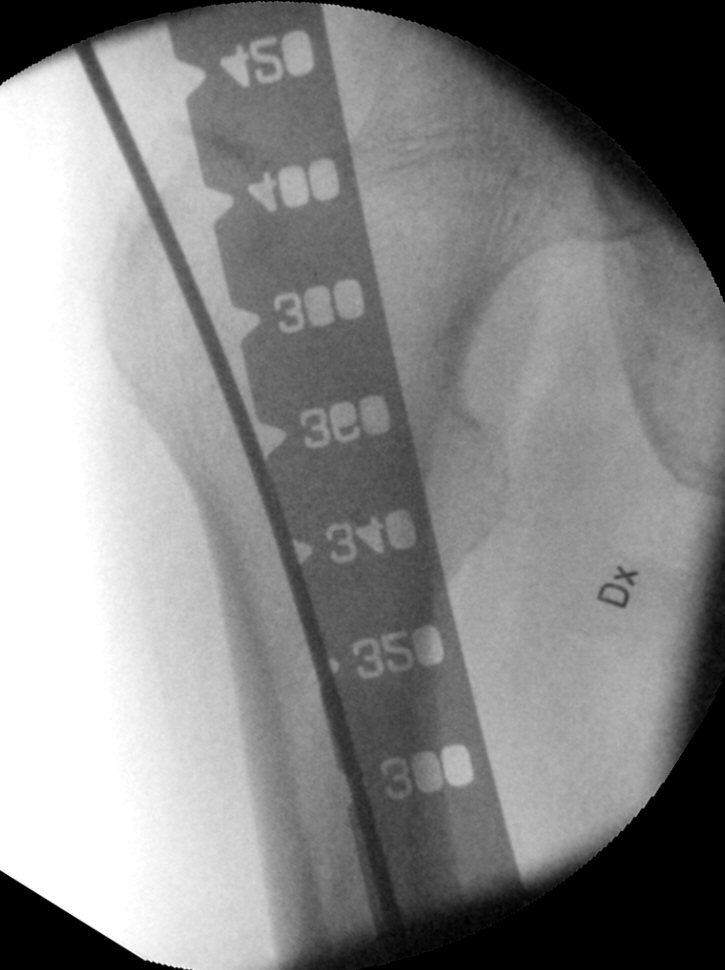
- Mät längd på märgspiken med speciallinjal, antingen genom att mäta hur mycket som sticker ut av guidevajern eller genom att hålla linjalen ovanför femur i genomlysning. Spiken ska gå från trokantern till kondylnivå, nästan ner till femurs distala ände, ungefär i nivå med patellas proximala pol.

Mätning av gammaspikens längd. Valde i detta fall 400 mm.
- Borra för märgspiken med reamer i ökande storlek till 13 mm (krävs inte alltid, vid stor femurkanal så behövs det inte). Borra både "inåt" och "utåt", förbi isthmus.
- Använd "reamer sleeve" för att skydda mjukdelarna, reama för hand med "One step conical reamer". Om man tryckt in prylen långt och benet har vid märgkanal är detta steg inte nödvändigt.
- Operationssköterskan sätter ihop gammaspiken och "Carbon Fiber Target Device", skruvas ihop med "Nail Holding Screw".
- För in gammaspiken för hand genom att rotera den försiktigt fram och tillbaka, om man roterar för mycket finns risk för ny fraktur. Om det är trögt så finns ett speciellt handtag som man även kan slå på.
- Sätt på glidskruvens guide och mät med plastmallen "One shot device" så att spiken kommer lagom långt in, glidskruven ska hamna lite distalt om kaputs centrum i frontalvy.

Frontalbild, mall i genomlysning
- Vrid mallen ca 90°. Titta i sidovy. Vrid spiken och justera mallen så den passerar märgspikens hål för glidskruv och hamnar motsvarande centralt i kollum och kaput.

Sidobild, mall i genomlysning, märgspikens glidskruvshål markerat med röd cirkel
- Ta bort spikens guidevajer.
- Ta bort frakturhållartången, vid behov kan den ersättas med t.ex. vajercerklage:
- För in vajerhållare runt benet, se till att det inte kommer mjukdelar emellan och att den vassa delen på vajerhållaren inte skadar benet.
- För in vajer i vajerhållarens distala del tills den kommer ut i andra änden.
- Ta bort vajerhållaren.
- Se till att vajern ligger rätt i vajerlåset.
- Spänn med vajerpistolen.
- Lås låset närmast benet.
- Ta bort vajerpistolen.
- Kläm åt vajerlåset.
- Ta bort låset.
- Klipp av vajern.
- Markera var glidskruvens guide träffar huden, gör ett 2 cm stort snitt i huden och genom fascia, i samma riktning som glidskruven.
- Putta in guiden med borrguiden ända till benet, det är viktigt att den kommer ända in.
- Skruva fast "Target Sleeve Knob" så guiden låses fast.
- Man kan förborra för glidskruvens guide genom kortex med 4,2 mm borr - det görs inte alltid.
- Ta ut glidskruvens inre borrguide och ersätt med K-trådsguiden.
- Borra med k-tråd lagom långt in, änden ska sluta några mm från kaputs kortikala kant. Följ med genomlysning så att den hamnar rätt, i centrum av kaput på sidobild och strax distalt om centrum av kollum på frontalbild.
- Mät med mätsticka ungefär hur lång glidskruven ska vara men vänta med att ta fram den.
- Ställ in borren på lite under glidskruvens ungefärliga längd uppmätt enligt ovan.
- Borra med borr "lagom långt", det bör vara ca 0,5 cm till kaputs kortikala kant, justera borrens låsring vid behov.
- Kontrollera att guiden ligger an lateralt mot benet, läs av på borren hur lång glidskruv det ska vara, avrunda uppåt. Om du t.ex. borrat 97 mm så välj 100 mm lång glidskruv.
- Skruva in glidskruven, avsluta så handtaget är parallellt eller vinkelrätt mot femur, detta för att set-skruven sedan ska hamna rätt. Notera att man inte får skruva ut glidskruven när man väl börjat skruva in den.
Ibland disloceras frakturen när man skruvar in glidskruven (kaput kan roteras), kontrollera och åtgärda vid behov, t.ex. genom att vrida tillbaka något. Kontrollera läget i genomlysning, det ska vara 0,5-1 cm till kaputs kortikala kant.
- Sätt på set-skruven längst proximalt på gammaspiken.
- Vid insättning kan den haka fast på spikhållaren, tryck till hårt.
- Skruva åt den och skruva sedan upp den ca ¼ varv.
- Ta bort gammaspikens handtag.
- Se till att rotationen är korrekt innan de distala låsskruvarna sätts!
- Ta rak sidobild i kondylplanet (vid knät) och se till att kondylerna dorsalt ligger i samma plan
eller
- Ta sidobild på kollum femoris. Det ska vara en anteversion på ca 15°, en linje vid kollums ventrala kortex ska dela kaput på mitten.
- Flytta genomlysningen, rotera benet så man kan lysa rakt igenom märgspikens distala låshål.
- Borra hål för distala låsskruvar. Antingen:
- Lokalisera låshålen, gör snitt i huden.
- Använd pryl i genomlysning för att markera i femur var låsskruvarna ska sitta.
- Använd icke röntgentät vinkelborrmaskin och borra hålen - kontrollera i genomlysning.
- Eller:
- Se till att sidobilden är exakt rak, man kan behöva rotera röntgenapparaten. Det runda hålet i spiken ska vara runt, och det avlånga hålet ska vara avlångt, utan några dubbelkonturer.
- Markera i frontalvy exakt var mitten av hålet är
- Markera i sidobild exakt mitten av hålet, använd gärna kniv

Knivspets markerar placering av statisk distal låsskruv. Notera att bilden är tagen exakt rakt från sidan.
- Gör hudsnitt
- För in pryl och kontrollera i både frontalvy och sidovy att spetsen är exakt mitt i hålet. Gör ordentligt märke.
- Borra i prylens hål, kontrollera i både frontal- och sidovy att du är mitt i hålet och med rätt vinkel.
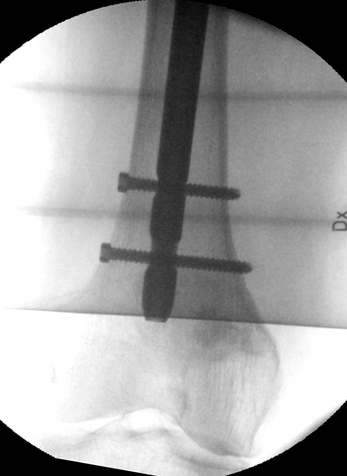
- Mät med mätsticka hur långa skruvar som behövs.
- Skruva in skruvarna "lagom" hårt, se till i genomlysning att de hamnar rätt. Om de går alltför trögt, skruva ut och borra igen, låt borren “vandra runt” lite.
- Lagra peroperativa bilder om det inte är gjort tidigare.

Lagom lång gammaspik med bra läge på glidskruv, lagom långa låsskruvar varav en statisk och en dynamisk
- Skölj ur såren med koksaltlösning, använd ev. LIA eller lokalbedövning.
- Suturera fascia lata åtminstone i det större såret med resorberbar tråd 2.
- Suturera subkutant med resorberbar 2-0.
- Förslut såren med agraffer eller suturer.
- Skriv operationsberättelse, röntgenremiss och registrera åtgärden i frakturregistret. Postoperativa ordinationer:
- Postoperativ röntgenkontroll.
- I normalfallet full belastning, men vid komminut fraktur utan benkontakt: delvis belastning 6-8 veckor, full belastning efter att överbryggande kallus konstaterats på röntgen.
- Trombosprofylax 4 veckor.
- Sutur-/agrafftagning 2-3 veckor postop.
ICD-10
- S72.1: Pertrokantär fraktur
- S72.10: Pertrokantär fraktur-sluten
- S72.11: Pertrokantär fraktur-öppen
- S72.2: Subtrokantär fraktur
- S72.20: Subtrokantär fraktur-sluten
- S72.21: Subtrokantär fraktur-öppen
- S72.3: Fraktur på femurskaftet
- S72.30: Fraktur på femurskaftet-sluten
- S72.31: Fraktur på femurskaftet-öppen
- S72.4: Fraktur på nedre delen av femur
- S72.40: Fraktur på nedre delen av femur-sluten
- S72.41: Fraktur på nedre delen av femur-öppen
- S72.7: Multipla femurfrakturer
- S72.70: Multipla femurfrakturer-sluten
- S72.71: Multipla femurfrakturer-öppen
- S72.8: Frakturer på andra specificerade delar av femur
- S72.80: Frakturer på andra specificerade delar av femur-sluten
- S72.81: Frakturer på andra specificerade delar av femur-öppen
- S72.9: Fraktur på ospecificerad del av femur (Annan fraktur på femur;Lårbensfraktur;Femurfraktur)
- S72.90: Fraktur på ospecificerad del av femur-sluten
- S72.91: Fraktur på ospecificerad del av femur-öppen
Åtgärdskoder (KVÅ)
- NFJ09: Sluten reposition av femurfraktur.
- NFJ19: Öppen reposition av femurfraktur.
- NFJ59: Osteosyntes av femurfraktur med märgspik.
Länkar
Uppdaterad: 2024-12-22 16:38:29 av Lars Johanson