Skada: Fraktur trokanter major
Handläggning
Uppkommer ofta efter fall mot höften.
- Säkerställ att det inte är en genomgående höftfraktur
- Bör inte smärta vid belastning på rakt ben, däremot vid aktivering av muskulatur som fäster på trokanter major
- DT- eller MR-undersökning kan krävas
- Behandlas med tidig mobilisering [1]. Kan kräva inläggning.

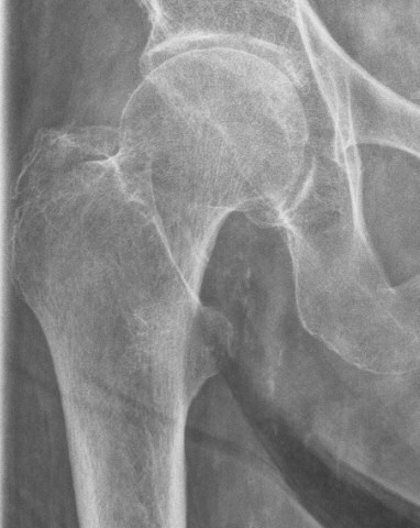
Trokanter majorfraktur, behandlades med direkt mobilisering
ICD-10
- S72.8 Frakturer på andra specificerade delar av femur
- S72.80 Frakturer på andra specificerade delar av femur-sluten
- S72.81 Frakturer på andra specificerade delar av femur-öppen
- S72.9 Fraktur på ospecificerad del av femur
- S72.90 Fraktur på ospecificerad del av femur-sluten
- S72.91 Fraktur på ospecificerad del av femur-öppen
Länkar
- Pertrokantär femurfraktur på internetmedicin.se (besökt 2021-08-01)
Uppdaterad: 2024-05-12 00:55:32 av Lars Johansson