Skada: Fraktur skafoideum
Fraktur i skafoideum syns inte alltid på slätröntgen och har dålig läkningsförmåga.
Undersökningsfynd
- Smärta vid palpation i fossa tabatière: palpera i fossa tabatière, ulnardeviera handleden varvid os skafoideum presenterar sig, jämför med andra handleden.
- Smärta vid palpation av tuberculum scaphoidei, palperas bäst vid radialdeviation av handled.
- Ömhet vid axialkompression av tumme.
- Ömhet vid radialdeviation av handled.
Handläggning
- Vid klinisk misstanke om skafoideumfraktur: slätröntgen alternativt DT av handled med frågeställning skafoideumfraktur.
- Även vid sen diagnos, upp till 12 veckor, kan fraktur behandlas konservativt enligt nedan, men DT bör då göras vid diagnos. [3]
- Vid avulsionsfraktur av tuberositas scaphoideum:
- Skafoideumgips i 4 veckor. [2, 5]
- Återbesök efter 4 veckor för klinisk kontroll [5]
- Vid tydlig frakturlinje i flera projektioner, eller vid proximal fraktur: kartlägg med DT [4].
- Vid fraktur distalt:
- Vid felställning > 1,5 mm: sätt gips och förbered för poliklinisk operation med reposition och skruvfixation [1, 5] inom 2 veckor [4].
- Annars:
- Skafoideumgips vid komminut distal fraktur, annars cirkulärt handledsgips (skafoideumgips med fri MCP-led). [4]
- Boka in återbesök med klinisk kontroll och DT utan gips efter 6 veckor [1] (10 veckor vid komplicerande faktor såsom dislocerad fraktur, kortisonbehandling, rökning m.m.):
- Vid ej läkning vid återbesöket (läkning: god kontakt och överbryggande trabekelverk > 50 % av frakturytan):
ny gips och nytt återbesök med DT efter ytterligare 4 veckor. [1, 3]
- Vid ej läkning efter 14 veckor: förbered för poliklinisk operation.
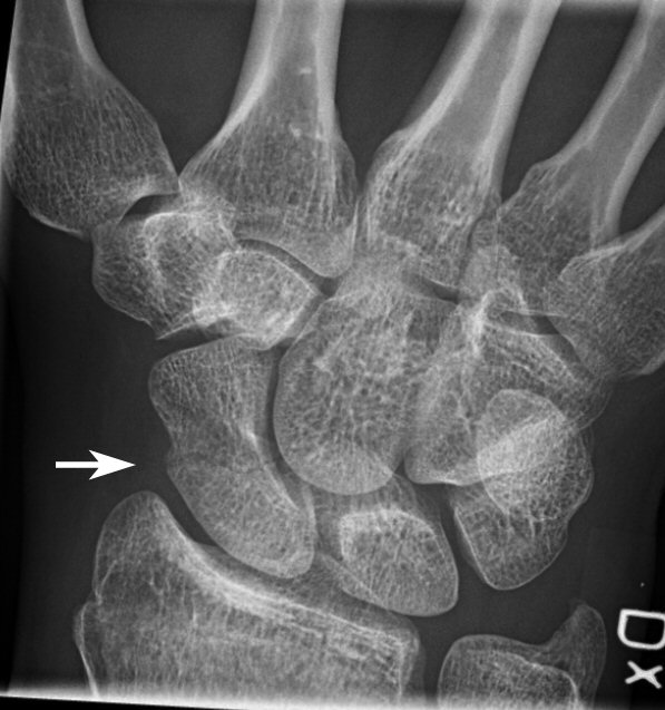
- Vid fraktur i midja:

Midjefrakturer i skafoideum. Båda behandlade med gips, andra bilden läkte inte, opererades sedan
- Vid felställning > 1,5 mm: sätt gips och förbered för poliklinisk operation med reposition och skruvfixation [1, 5] inom 2 veckor [4].
- Vid felställning 0,5-1,5 mm:
- Vid komminut fraktur, radialt fragment, perilunär skada eller misstanke om instabilitet: sätt gips och förbered för poliklinisk operation med reposition och skruvfixation [5] inom 2 veckor [4].
- Annars (enkel fraktur): [5]
- Skafoideumgips.
- Återbesök till gipstekniker för omgipsning efter 3 veckor.
- Återbesök med DT till läkare för klinisk kontroll och gipsbyte efter 6 veckor.
- Återbesök med DT till läkare efter 10 veckor.
- Annars (felställning ≤ 0,5 mm): [5]
- Skafoideumgips 6–10 veckor.
- Återbesök till gipstekniker för gipsbyte efter 3 veckor.
- Återbesök med DT till läkare efter 6 veckor.
- Om läkt – mobilisering.
- Om rökare, nedsatt compliance, komminut fraktur eller tveksam läkning:
- Fortsatt gips och nytt återbesök med DT efter totalt 10 veckor.
- Vid fraktur proximala tredjedelen:
- Helt odislocerad (< 0,5 mm [5]):
- Skafoideumgips 10 veckor.
- Återbesök till gipstekniker för gipsbyte efter 3 veckor.
- Återbesök med DT till läkare för klinisk kontroll och gipsbyte efter 6v.
- Återbesök med DT till läkare efter 10 veckor.
- Annars: sätt gips och förbered för poliklinisk operation med skruvfixation [1, 3], gärna först DT för kartläggning [3].
- Vid klinisk misstanke men normal röntgenbild, det finns ofta lokala rutiner, exempelvis:
- Sätt dorsal gipsskena (alt. skafoideumgips) [3, 4] och beställ MR inom 1-2 veckor (möjligt alternativ: boka in återbesök efter 7-14 dagar för avgipsad röntgenundersökning och ny klinisk kontroll). Vid kontraindikation för MR så ger DT relativt säkert svar.
Om normal MR så är det ingen fraktur [1], men utred ev. SL-ligamentskada [3]. Patienten bör bli klart förbättrad inom ytterligare 2-3 veckor, bör annars undersökas igen av ortoped eller handkirurg inför ev. artroskopi.
ICD-10
- S62.0: Fraktur på os scaphoideum (i hand)
Referenser
- Handkirurgi av Göran Lundborg och Anders Björkman, ISBN 978-91-44-08837-2
- Scaphoideumfraktur – ortopedisk handläggning, NU (besökt 2024-12-22)
- Diagnostik och behandling av akuta skafoideumfrakturer, Lakartidningen.se 2019-06-17 (besökt 2019-06-18)
- Scaphoideumfrakturer med Martin Clementson, Ortopodden 2019-06-04 (besökt 2019-08-11)
- Skafoideumfrakturer – Ortopedisk handläggning, SU (besökt 2024-12-21)
Uppdaterad: 2024-12-22 15:51:14 av Lars Johanson