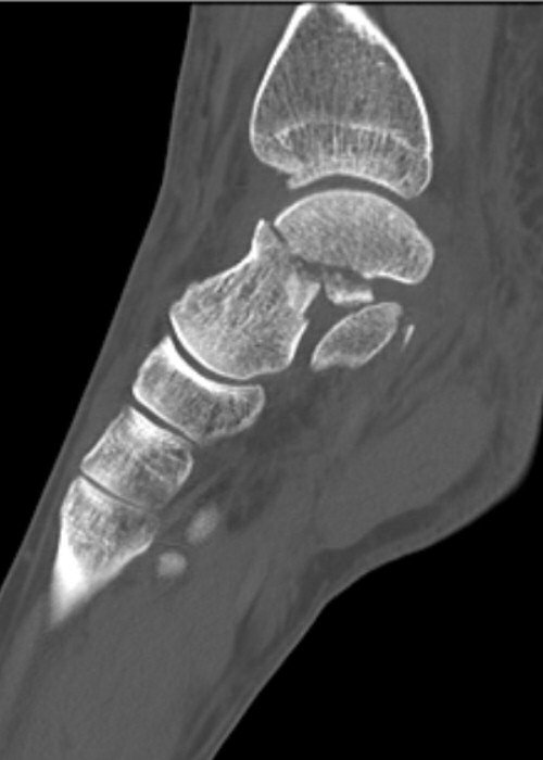
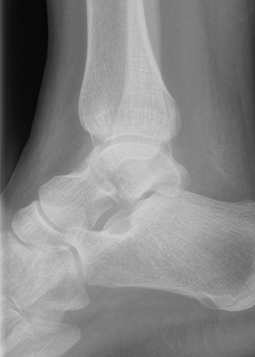
Skada: Fraktur talus
Det är stor risk för avaskulär nekros vid fraktur i kollum (< 10 % vid Hawkins yp I, < 40 % vid Hawkins typ II, > 90 % vid Hawkins typ III och IV). Det är också viktigt med snabb rörelseträning och partiell belastning. Snabb fixation kan minska risken för komplikationer.
Klassificering
- Avulsionsfraktur
- Kollum
- Hawkins I: odislocerad
- Hawkins II: felställning och/eller inkongruens subtalärt

- Hawkins III: felställning både i fotled och subtalärt
- Hawkins IV: felställning både i fotled, subtalärt och talonavikärt
- Korpus
Handläggning
Slätröntgen vid misstanke om skelettskada i foten, DT krävs för att kartlägga fraktur i talus [1].
Avulsionsfraktur
Underbensgips eller elastisk linda, belastning efter förmåga. [5]
Fraktur i kollum
- Förbered snar operation med öppen reponering till exakt läge och skruvfixation med 2 skruvar, alt. 1 skruv och 1 stift.
- Vid helt odislocerad fraktur så kan man överväga perkutan stftning.
- Postoperativt gips i några dagar, sedan obelastad rörelseträning och partiell belastning i ortos [1]
- Röntgenkontroll efter 6 veckor, vid tecken till läkning (Hawkins tecken = subkondral osteolys, tyder på läkning [1, 2]) så full belastning 8 veckor postoperativt [1] eller 10-12 veckor [2].
- Om man ändå behandlar med enbart gips så ska den sitta minst 8 veckor [1], avlastat första 6 veckorna [2].

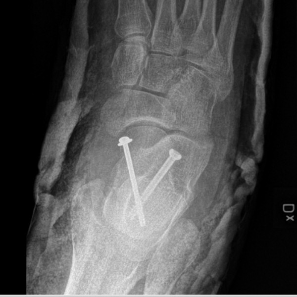
Talusfrakturen ovan fixerad med två skruvar
Fraktur i korpus
Fraktur processus lateralis tali:
- Vid felställning < 2 mm: gipsstövel i 6 veckor [3], avlastad
- Vid större fragment: reponering och fixering med försänkt skruv eller stift. [1]
- Excision av fragment vid mindre fragment [1] eller komminut fraktur [3]
- Stor risk för sena besvär [1]
Ett möjligt alternativ om patienten inte är öm plantart: Avlastning 6 veckor. Gipsstövel första 4 veckorna, därefter rörelseträning (men alltså fortsatt avlastning).
Osteokondrala skador
- Relativt vanligt vid distorsionsvåld [1], eller upprepat mikrotrauma [4]
- Kan ge knäppningar, låsningar, skarp smärta vid belastning, svullnad [1, 4]
- Ses ibland på slätröntgen, annars krävs MR eller artroskopi för diagnos [1]
- Behandling varierar mellan:
- Avlastning med eller utan gips [1], eller avlastning med gips i 6 veckor [4]
- Artroskopisk excision och mikrofrakturering vid kronisk, mindre skada [4]
- Artroskopisk stiftning [1]
- Ev. bengraft eller öppen reposition och fixering [4]
ICD-10
- S92.1: Fraktur på talus
- S92.10: Fraktur på talus, sluten
- S92.11: Fraktur på talus, öppen
Referenser
- Fotkirurgi av Fredrik Montgomery och Jan Lidström, ISBN 47-05204-X
- Talar Neck Fractures på orthobullets (besökt 2018-11-03)
- Talus Fracture (other than neck) på orthobullets (besökt 2018-11-03)
- Osteochondral Lesions of the Talus på orthobullets (besökt 2018-11-03)
- Ortopedi - patofysiologi, sjukdomar och trauma hos barn och vuxna av Magnus Karlsson, Jón Karlsson och Harald Roos, ISBN 978-91-44-09084-9
Uppdaterad: 2024-07-09 17:53:29 av Lars Johanson