Skada: Fraktur humerusdiafys
Innehåll
Klassificering
Anligt AO:
- A1: Spiralformad fraktur
- A2: Snedgående fraktur
- A3: Tvärgående fraktur
- B1: Spiralformad med böjkilsfragment
- B2: Snedgående med böjkilsfragment
- B3: Fraktur med splittrat böjkilsfragment
- C1: Spiralformad fraktur med splittrat böjkilsfragment
- C2: Segmentell fraktur
- C3: Splittrad komplex fraktur
Det finns också t.ex. Holstein-Lewis: spiralfraktur på distala tredjedelen av humerus, i 22 % av fallen påverkas n. radius [3].

Holstein-Lewis-fraktur
På akuten
- Kontrollera distalstatus noga, n. radialis är särskilt utsatt då den ligger tätt mot distala humerus.
- Var frikostig med att röntga även axel och armbåge, det är vanligt med associerade skador.
- Diskutera gärna med bakjour för beslut om kirurgisk eller icke-kirurgisk behandling. Om nerv- eller kärlskada, eller annan akut frågeställning så ring även nattetid, kan annars få ortos/gipsas och vänta till dagtid.
- Oftast konservativ behandling:
- Om fraktur proximalt eller ner till mellersta tredjedelen: [1]
- Ortos (frakturortos humerus) med armslynga, eller gips (hanging cast: långt cirkulärgips alt. gipsskena ner över underarmen, armbåge i 90° + collar'n'cuff-slynga), dygnet runt

Frakturortos humerus, även kallad Sarmiento-ortos eller hockeyortos
- Om fraktur distala tredjedelen: [1]
- Ortos (t.ex. HumerusStabil Kort frakturortos) eller cirkulärt gips runt armen ner till epikondylnivå och med axeln fri
- Om gipsad så återbesök efter 1 vecka med byte till plastgips cirkulärt med armbågsleden fri. Röntgenkontroll efter bytet.
- Annars första återbesök med röntgenkontroll efter 1 v [3], 1-2 veckor [1] eller 2-3 veckor [3]. Vid besöket ev. byte till collar'n'cuff [2].
- Sedan återbesök med röntgenkontroll efter 6-8 veckor [1, 2, 3]. Vid klinisk läkning så avveckla ortos, fortsätt i annat fall immobilisering med ny röntgen- och klinisk kontroll. Vid smärta och instabilitet så kan man överväga kirurgi.
- Om ej läkt 12-16 veckor så överväg kirurgi [2]
- Full belastning tidigast 3-4 månader efter skadan [1]
- Ibland kan radialisnerven skadas vid sluten fraktur, ofta beroende på kontusion. I genomsnitt tar det 6 månader tills helt återhämtad [3]. Skriv remiss till arbetsterapeut för anpassad ortos och ordna uppföljande besök. Om inga tecken till återhämtning inom 3 månader så diskutera med handkirurg om ev. öppen nervexploration [4].
- Kirurgi, oftast med plattfixation, vid:
- Vinkelfelställning > 20° anteriort eller 30° varus eller valgus [2, 3]
- Förkortning > 3 cm [2, 3]
- Proximal diafysär sned fraktur där m. deltoideus drar i distala fragmentet
- Multitrauma
- Patologisk fraktur
- Nerv-/kärlskada
- Floating elbow (associerad underarmsfraktur)
- Högt BMI ger samre utfall vid icke-kirurgisk behandling
- Icke-läkning



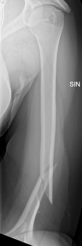
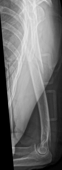
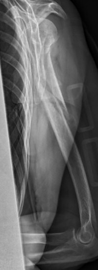
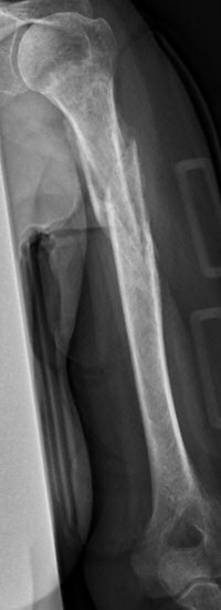
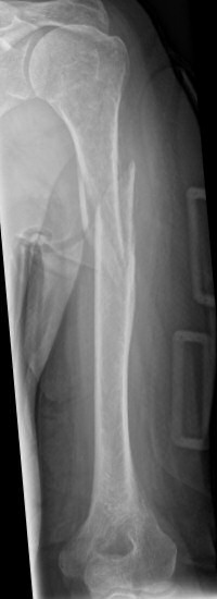
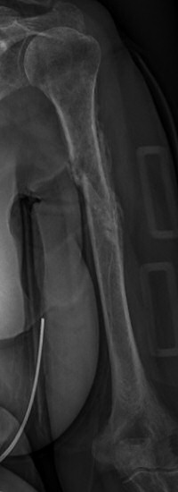
Exempel på humerusfraktur som behandlats icke-kirurgiskt, röntgenbilder efter 19, 40 resp. 71 dagar
På återbesök vid icke-kirurgisk behandling
- Kontrollera frakturläge och läkningsprocess på röntgenbilder.
- Kontrollera neurologi, fr.a. n. radialis (dorsalextension av handled, sensorik radialt handens dorsalsida).
- Kontrollera besvär av ortos/gips, om ohållbara besvär så ta ställning till kirurgi.
ICD-10
- S42.3 Fraktur på humerusskaftet
- S42.30 Fraktur på humerusskaftet, sluten
- S42.31 Fraktur på humerusskaftet, öppen
- S42.7 Multipla frakturer på nyckelben, skulderblad och humerus
- S42.70 Multipla frakturer på nyckelben, skulderblad och humerus, sluten
- S42.71 Multipla frakturer på nyckelben, skulderblad och humerus, öppen
Länkar
- Axel – Diafysär humerusfraktur - FYS, SU (besökt 2024-12-21)
- Humerusfraktur, diafysär, hos vuxna, på Internetmedicin (besökt 2019-02-08)
- Humeral Shaft Fractures - Trauma - Orthobullets (besökt 2019-02-08)
- Ortopedi i fickformat av Richard Blomfeldt, ISBN 9789163307195
Uppdaterad: 2025-05-01 18:07:25 av Lars Johanson