Skada barn: Fraktur tibia distal fyseolys (barn)
Innehåll (barn)
Distal tibiafyseolys SH 2 (barn)
Tillåten felställning, alla av:
- ≤ 20° sagitell vinkelfelställning [1]
- ≤ 10° annan vinkelfelställning [1]
- ≤ 1 cm ad latus [1]
I så fall:
- Gipsstövel [1]
- Belastning till smärtgräns, efter 2 veckor tillåts full belastning. [1]
- Återbesök med röntgenkontroll 1-2 veckor efter trauma. [1]
- Avgipsning 4 veckor efter trauma. [1]
- Undvik riskaktiviteter i 2-4 veckor efter avgipsning. [1]
Vid ej acceptabel felställning:
- Diskutera med bakjour.
- Förbered för inläggning och snar operation, ofta sluten reposition, ev. stiftning eller skruvfixation.
Större skador SH2, SH3, SH4 hos yngre barn bör röntgenkontrolleras efter 3-4 månader för att upptäcka ev. tillväxtstörning. [4]
Distal tibiafyseolys SH 3 och 4 (barn)
Tillåten felställning, båda av:
- Diastas ≤ 2 mm [1]
- Nivåhak i ledytan (och i fysen) ≤ 1 mm [1]
I så fall:
- Gipsstövel. [1]
- Belastning till smärtgräns, full belastning tillåts efter 1-2 veckor. [1]
- Återbesök med röntgenkontroll 1-2 veckor efter trauma. [1]
- Avgipsning 4 veckor efter trauma. [1]
- Undvik riskaktiviteter i 4 veckor efter avgipsning. [1]
- Informera om risk för tillväxtstörning, eller planera in uppföljning hos barnortoped [1]
Vid ej acceptabel felställning:
- Diskutera med bakjour.
- Förbered för inläggning och snar operation, ofta stiftning eller skruvfixation.
Större skador SH2, SH3, SH4 hos yngre barn bör röntgenkontrolleras efter 3-4 månader för att upptäcka ev. tillväxtstörning. [4]
Distal tibiafyseolys SH 3 Tillaux (barn)
Salter-Harrisfraktur typ III, med avulsionsfraktur av anteriora/inferiora tibiofibulära ligamentet, motsvarar syndesmosruptur hos vuxna.
Gör DT för att avgöra felställning vilket avgör behandlingen.
Tillåten felställning, båda av:
- Diastas ≤ 2-3 mm [1]
- Nivåhak i ledytan ≤ 1 mm [1]
I så fall:
- Gipsstövel. [1]
- Belastning till smärtgräns, full belastning tillåts efter 1-2 veckor. [1]
- Återbesök med röntgenkontroll 1-2 veckor efter trauma. [1]
- Avgipsning 4 veckor efter trauma. [1]
- Undvik riskaktiviteter i 4 veckor efter avgipsning. [1]
Vid ej acceptabel felställning:
- Diskutera med bakjour.
- Förbered för inläggning och snar operation, ofta sluten reposition, ev. stiftning eller skruvfixation.
Större skador SH2, SH3, SH4 hos yngre barn bör röntgenkontrolleras efter 3-4 månader för att upptäcka ev. tillväxtstörning. [4]
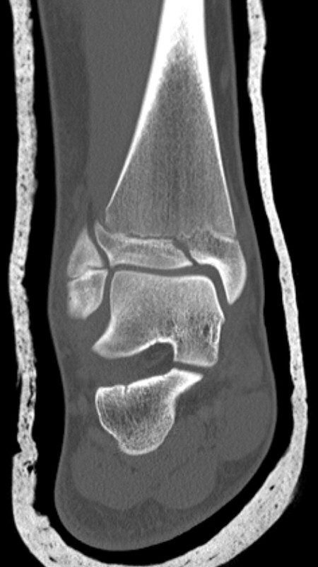
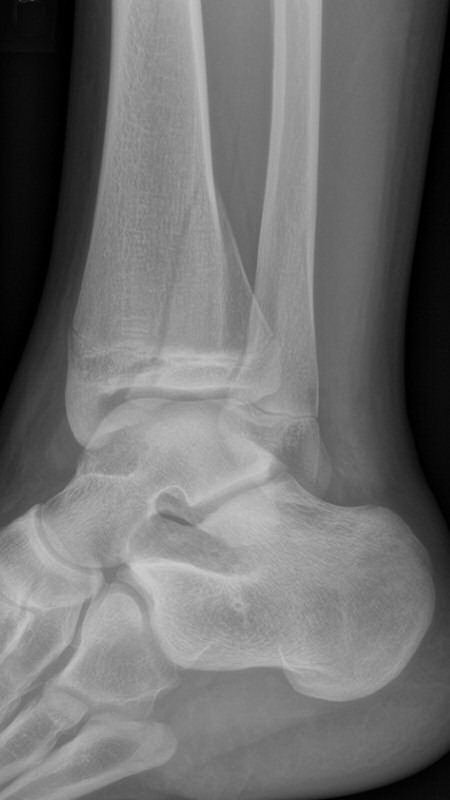
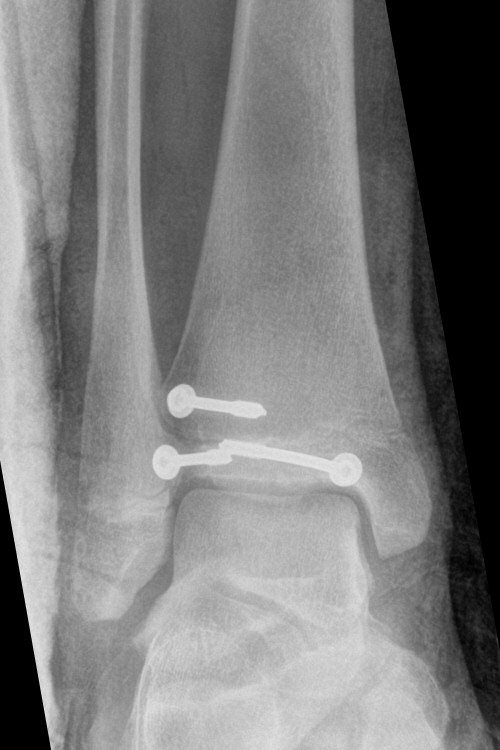
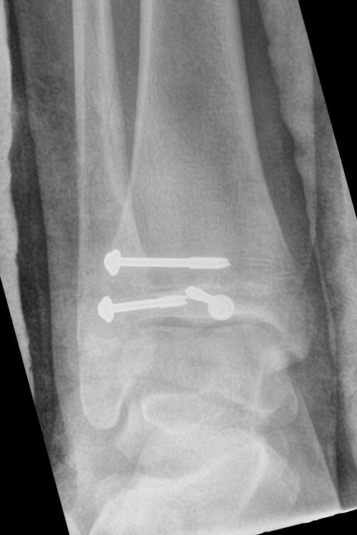
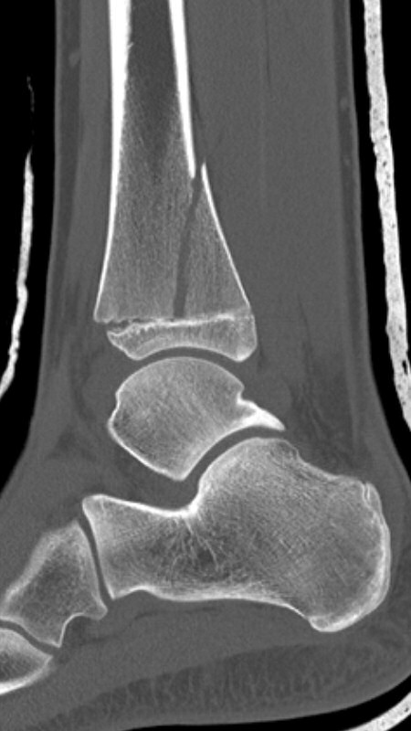
Distal tibiafyseolys SH 4 triplansfraktur (barn)
Triplanfraktur = triplansfraktur = treplansfraktur: fraktur i distala tibia som engagerar både metafys, fys och epifys. Kan vara 2, 3 eller 4 fragment. I 50 % av fallen är även fibula frakturerad [3].
Större skador SH2, SH3, SH4 hos yngre barn bör röntgenkontrolleras efter 3-4 månader för att upptäcka ev. tillväxtstörning. [4]

Exempel på triplansfraktur hos nästan färdigvuxet barn

Efter operation med skruvfixation
På akutmottagning
Gör DT för att avgöra frakturtyp och felställning.
Tillåten felställning, båda av:
- Diastas ≤ 2-3 mm [1]
- Nivåhak i ledytan ≤ 1 mm [1]
I så fall:
- Gipsstövel. [1]
- Belastning till smärtgräns, full belastning tillåts efter 1-2 veckor. [1]
- Återbesök med röntgenkontroll 1-2 veckor efter trauma. [1]
- Avgipsning 4 veckor efter trauma. [1]
- Undvik riskaktiviteter i 4 veckor efter avgipsning. [1]
Vid ej acceptabel felställning:
- Diskutera med bakjour.
- Förbered för inläggning och snar operation, ofta med kanylerade skruvar. [2]
ICD-10 (barn)
- S82.3: Fraktur på nedre delen av tibia
- S82.30: Fraktur på nedre delen av tibia-sluten
- S82.31: Fraktur på nedre delen av tibia-öppen
Referenser (barn)
- Barnfrakturer och luxationer i öppenvård Astrid Lindgrens Barnsjukhus, giltig från 2024-08-22 (besökt 2024-12-13)
- Frakturer hos barn, nedre extremitet på Internetmedicin.se (besökt 2019-05-15)
- Triplane Fractures på orthobullets.com (besökt 2019-05-15)
- VISOK Barntrauma med Ebba Fridh 2025-02-28
Uppdaterad: 2025-03-16 10:58:26 av Lars Johanson