Skada: Kalkaxel
Synonymer
- Peritendinitis calcarea
- Calcific Tendonitis
Symtom
- Snabbt insättande, svåra, brännande smärtor i axel [1]
- Palpationsömhet ventralt om axeln [1]
- Vanligast hos kvinnor 30-60 år [1, 2]
- Nedsatt rörelseomfång, framför allt aktivt [2]
- Kan ge CRP > 100, feber > 38° och frossa vilket försvårar diffdiagnostik mot septisk artrit
- Kan i undantagsfall sätta sig i andra muskler, exempelvis vid höft - "kalkhöft"

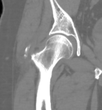
55-åring med snabbt insättande mycket kraftig smärta i höger höft, spontant återställd efter ett par dagar
Diagnos
- Typisk anamnes
och
- Röntgenbild med typisk förkalkning i supraspinatussenan
och
- Uteslutande av annan genes såsom septisk artrit i axelled. Vid osäker diagnos:
- Försök punktera leden för cellräkning och odling
- Man kan beställa ultraljud av axeln för att se utgjutning i leden och om möjligt ultraljudsledd punktion för cellräkning och odling

Två exempel på kalkaxlar, både med kraftig smärta och förhöjt CRP men återställda efter några dagar.
Behandling
- Läker spontant inom några dagar upp till en vecka men med smärta
- Smärtlindring med NSAID [2]
- Fysioterapi med stretchning [2]
- Man kan prova kortisoninjektion subakromiellt [2]
- Ev. stötvågsbehandling [2]
- Tänkbart med ultraljudsledd aspiration av kalk [2]
ICD-10
- M75.3 Tendinit med förkalkning i skulderled
Referenser
- ABC om Axelsmärta, Läkartidningen nr 6 2013 (besökt 2019-05-27)
- Calcific Tendonitis på orthobullets.com (besökt 2019-12-16)
Uppdaterad: 2020-07-24 19:59:05 av Lars Johanson