Skada barn: Fraktur distala humerus (barn)
Innehåll (barn)
Påverkat distalstatus (barn)
Vid försämrad cirkulation är behandlingen reposition och stiftning, men prioriteten varierar. Vid vit, pulslös hand så operation så snabbt som möjligt. Om pulslös men normalfärgad (= pink pulseless) så snabb operation, måste inte göras nattetid men kontrollera i så fall distalstatus regelbundet i väntetiden. Kontakta också kärlkirurg. [4]
Efter operation brukar perfusionen återhämta sig om man väntar några minuter, om fortfarande för dålig perfusion så öppna och frilägg a. brachialis, efter kontakt med kärlkirurg. [4]
"Osynlig" fraktur (barn)
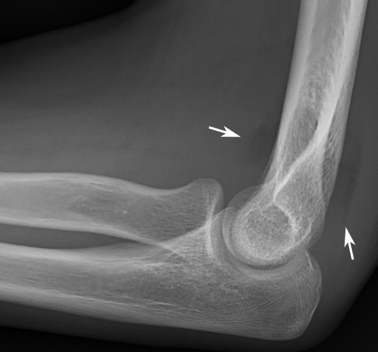
Det är inte ovanligt att barn kommer in med smärta i armbågen där röntgen inte visar fraktur men utgjutning i leden eller upplyft anterior fettkudde eller synlig posterior fettkudde antyder fraktur även om den inte syns på röntgen. Behandling:
- Vid diskret ömhet:
- Vid mer smärta:
- Hög gipsskena med armbågsleden i 90° flexion
- Gipsavtagning i hemmet 3-4 veckor efter skadan
- Undvik risker 4 veckor efter gipsavtagning

Normal sidobild (vuxet skelett)

Fettkuddar anteriort och posteriort om distala humerus, antyder fraktur (vuxet skelett)
Suprakondylär humerusfraktur (barn)
Klassificering
Vanligt med suprakondylär humerusfraktur som enligt Gartland indelas i:
- Ej felställd eller minimalt felställd
- 1.1 Ej felställd
- 1.2 Minimalt felställd
- Felställd med kontakt mellan fragmenten
- Felställd utan kontakt mellan fragmenten
Indelas också i extensionstyp (det distala fragmentet dorsalförskjutet) eller flexionstyp (det distala fragmentet ventralförskjutet).

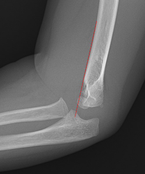
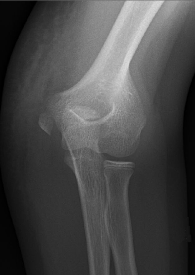
Suprakondylär humerusfraktur, Gartland 1.2, Rogers line delar capitulum radii, behandlades icke-kirurgiskt

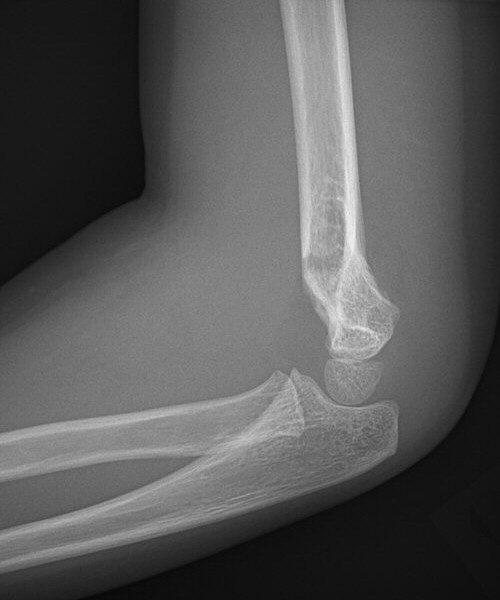
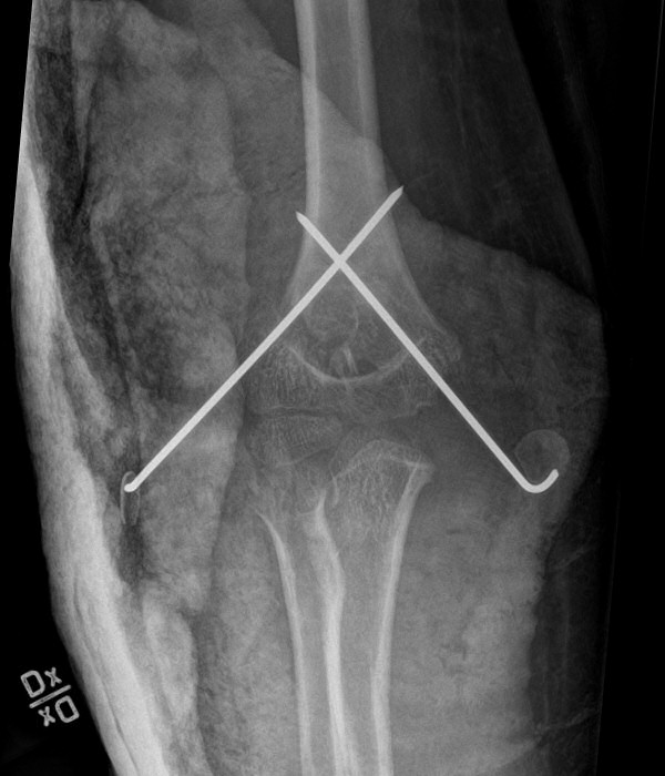
Suprakondylär humerusfraktur, Gartland 2, opererades med stiftning

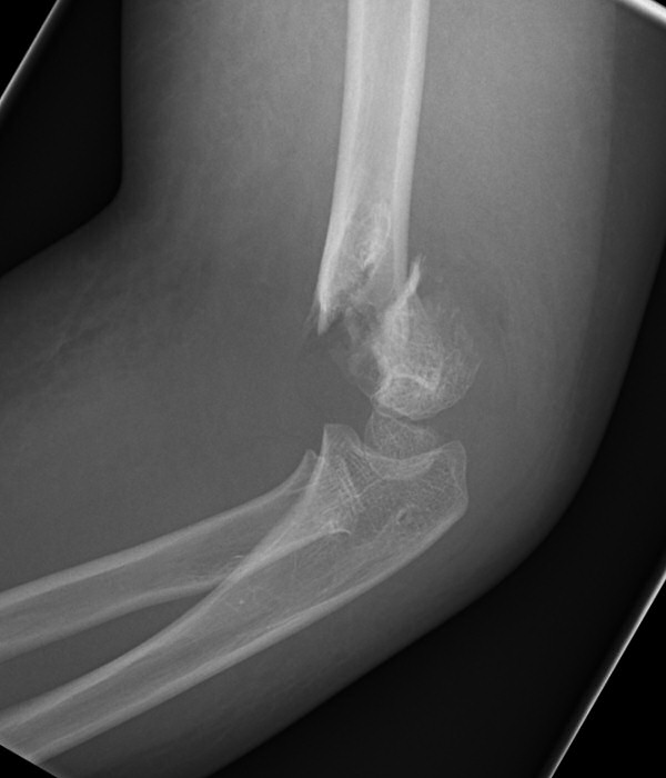
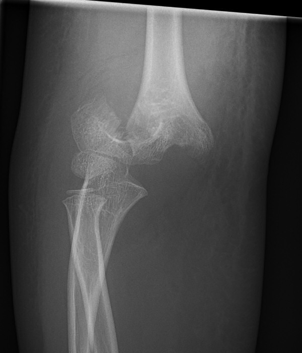
Suprakondylar humerusfraktur, Gartland 3, före och efter operation med stiftning
Handläggning
- Innan röntgenundersökning så anamnes, inspektion, palpation och distalstatus. Distalstatus är extra viktigt vid armbågsskador då både nerver och blodkärl kan skadas.
- Röntgenundersökning, helst utan gips för att få bättre bilder.
Icke-kirurgisk behandling:
- Om alla 3 av:
- Rogers line/anterior humeral line måste åtminstone tangera capitulum radiis framkant, d.v.s.: [1]
- ≤ 20° dorsalbockning
- ≤ 10° valgusställning
- Ingen varusställning [1]
- Minimal rotationsfelställning [1]
- Hög gipsskena med armbågsleden i 90° flexion [1]
- Kontrollera och dokumentera distalstatus även efter gipsning [1]
- Återbesök med röntgenkontroll efter 1 vecka [1]
- Gipsavtagning i hemmet 3-4 veckor efter skadan [1]
- Undvik risker 4 veckor efter gipsavtagning [1]
- Informera om att barnet ska ha normalt rörelseomfång 2 veckor efter avgipsning [1]
Vid helt avhoppad fraktur: handläggs ofta vid regionsjukhus, diskutera med bakjour/regional barnortopedjour.
Förbered annars för operation med sluten reposition och stiftning, sätt gipsskena i väntan på operation.
Indikationer för operation nattetid:
- Ingen puls och blek hand med dålig kapillär återfyllnad [3]
Det är vanligt med ej palpabel puls, cirkulationen kan ändå vara tillräcklig. Det är också vanligt med nervpåverkan, oftast av traktionstyp som återhämtar sig spontant och är inte heller indikation för operation nattetid.
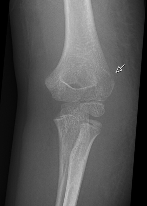
Radial (lateral) humeruskondylfraktur (barn)

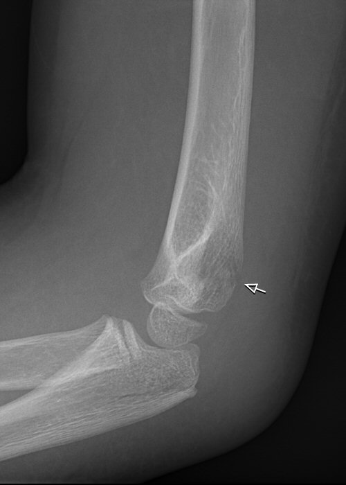
Fraktur på laterala humerusepikondylen, behandlades icke-kirurgiskt
- Innan röntgenundersökning så anamnes, inspektion, palpation och distalstatus. Distalstatus är extra viktigt vid armbågsskador då både nerver och blodkärl kan skadas.
- Röntgenundersökning, helst utan gips för att få bättre bilder.
Icke-kirurgisk behandling:
- Om alla 3 av: [1]
- ≤ 2 mm diastas
- ≤ 1 mm nivåskillnad i ledyteplanet
- ≤ 20° dorsalbockning
- Hög gipsskena med armbågsleden i 90° flexion [1]
- Återbesök med röntgenkontroll 1 vecka efter trauma. Vid osäkerhet om frakturläget så avgipsad röntgenundersökning. [1]
- Avgipsning i hemmet 3-4 veckor efter trauma. [1]
- Remiss till fysioterapeut för rörelseträning efter avgipsning, om nedsatt rörlighet 4-8 veckor efter avgipsning så snabbt återbesök. [1]
- Undvik risker 3 veckor efter gipsavtagning [1]
Förbered annars för operation med kompimerande skruv eller korsade stift. Vid stor skada, eller nerv- eller kärlskada så ring in bakjour för operation även nattetid, kan annars vänta till dagtid, sätt gipsskena tills operation. Nervskador är oftast av traktionstyp som återhämtar sig.
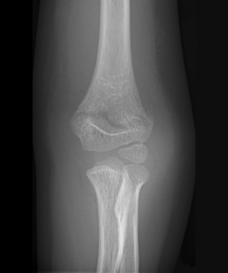
Ulnar (medial) epikondylfraktur (barn)

Fraktur på mediala humerusepikondylen, behandlades icke-kirurgiskt
- Innan röntgenundersökning så anamnes, inspektion, palpation och distalstatus. Distalstatus är extra viktigt vid armbågsskador då både nerver och blodkärl kan skadas.
- Röntgenundersökning, helst utan gips för att få bättre bilder.
Icke-kirurgisk behandling:
- Om alla tre av:
- ≤ 1 cm diastas [1]
- Ej roterat [1]
- Epikondylen ej inslagen i leden
- Hög gipsskena med armbågsleden i 90° flexion [1]
- Vid samtidig armbågsluxation:
- Återbesök med röntgenkontroll 1 vecka efter trauma [1]
- Nytt återbesök med avgipsning och uppstart av fysioterapi 3 veckor efter trauma. [1]
- Vid nedsatt rörlighet 4-8 veckor efter avgipsning: snabbt återbesök. [1]
- Undvik risker 3 veckor efter avgipsning [1]
- Annars:
- Återbesök med avgipsning, röntgenkontroll och kontroll av distalstatus 4 veckor efter trauma. [2]
- Remiss till fysioterapeut för rörelseträning, om nedsatt rörlighet 4-8 veckor efter avgipsning så snabbt återbesök. [1]
- Undvik risker 3 veckor efter avgipsning [1]
Förbered annars för operation med skruv eller stift. Vid stor skada, eller nerv- eller kärlskada så ring in bakjour för operation även nattetid, kan annars vänta till dagtid, sätt gipsskena tills operation. Nervskador är oftast av traktionstyp som återhämtar sig.
Distal humeruskondylfraktur, typ Y eller T (barn)
- Innan röntgenundersökning så anamnes, inspektion, palpation och distalstatus. Distalstatus är extra viktigt vid armbågsskador då både nerver och blodkärl kan skadas.
- Röntgenundersökning, helst utan gips för att få bättre bilder.
Icke-kirurgisk behandling om ingen felställning:
- Hög gipsskena med armbågsleden i 90° flexion. [1]
- Återbesök med röntgenkontroll efter 1 vecka. [1]
- Avgipsning i hemmet efter 4-5 veckor. [1]
- Remiss till fysioterapeut för rörelseträning efter avgipsning, om nedsatt rörlighet 4-8 veckor efter avgipsning så snabbt återbesök. [1]
- Undvik risker 4 veckor efter avgipsning. [1]
Förbered annars för operation med stiftning. Vid stor skada, eller nerv- eller kärlskada så ring in bakjour för operation även nattetid, kan annars vänta till dagtid, sätt gipsskena tills operation. Nervskador är oftast av traktionstyp som återhämtar sig.
ICD-10 (barn)
- S42.40: Fraktur på nedre delen av humerus, sluten
- S42.41: Fraktur på nedre delen av humerus, öppen
Referenser (barn)
- Barnfrakturer och luxationer i öppenvård Astrid Lindgrens Barnsjukhus, giltig från 2024-08-22 (besökt 2024-12-10)
- Barnfrakturer och luxationer i öppenvård, Astrid Lindgrens Barnsjukhus (giltig från 2016-04-15)
- Jakob Örtegren på Ortopediveckan 2024 (avlyssnat 2024-10-22)
- VISOK Barntrauma med Ebba Fridh 2025-02-28
Uppdaterad: 2025-05-22 11:09:09 av Lars Johanson