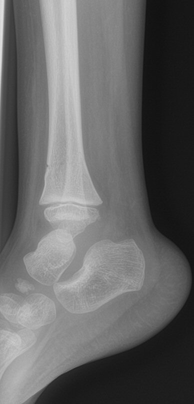
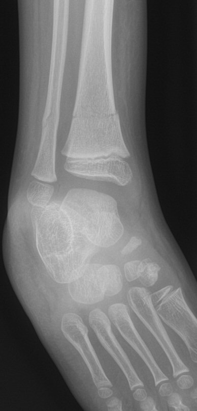
Skada barn: Fraktur tibia distal metafys (barn)
Tillåten felställning, alla av:
- ≤ 20° sagitell vinkelfelställning [1]
- ≤ 10° annan vinkelfelställning [1]
- ≤ 1 cm ad latus [1]
I så fall:
- Gipsstövel [1]
- Belastning till smärtgräns, efter 2 veckor tillåts full belastning. [1]
- Återbesök med röntgenkontroll 1-2 veckor efter trauma. [1]
- Avgipsning efter 4 veckor. [1]
- Undvik riskaktiviteter i 2-4 veckor efter avgipsning. [1]

Distala tibiametafys- och fibuladiafysfrakturer. Behandlades icke-kirurgiskt.
Vid ej acceptabel felställning:
- Diskutera med bakjour.
- Förbered för inläggning och snar operation.
ICD-10 (barn)
- S82.3: Fraktur på nedre delen av tibia
- S82.30: Fraktur på nedre delen av tibia-sluten
- S82.31: Fraktur på nedre delen av tibia-öppen
Referenser (barn)
- Barnfrakturer och luxationer i öppenvård Astrid Lindgrens Barnsjukhus, giltig från 2024-08-22 (besökt 2024-12-13)
Uppdaterad: 2024-12-13 23:25:47 av Lars Johanson