orto.nu

START - Skador - Knä/underben - Fraktur eminentia

Skada: Fraktur eminentia

Synonymer

Eminentiafraktur

Klassificering

Modified Meyers and McKeever Classification:

  • Typ I: Odislocerad (<3mm)
  • Typ II: Minimalt felställd med posterior kontakt
  • Typ III: Felställd utan benkontakt
  • Typ III+: Som typ III men även roterad
  • Typ IV: Ingen benkontakt, komminut

På akuten

Utreds med slätröntgen knä, DT vid behov.

  • Typ I:
    • Dorsal gipsskena med 10-15° flexion (relaxerar främre korsbandet). Ev. låst knäortos istället.
    • Röntgenkontroll efter gips.
    • Återbesök efter 7-10 dagar med byte till knäkappa och röntgenkontroll.
    • Stegmarkering i 6 veckor.
  • Typ II: Opereras inom 10 dagar, ev. sluten reposition, annars artroskopi eller öppen operation
  • Typ III, IV: Ev. artroskopi, annars öppen reposition snarast

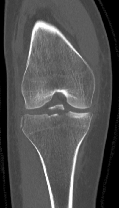
    Första bilden eminentiafraktur typ III (och segondfraktur), andra bilden efter operation med sutur.

ICD-10

  • S82.1: Fraktur på övre delen av tibia
  • S82.10: Fraktur på övre delen av tibia, sluten

Referenser

  1. Tibial Eminenenca Fracture på Orthobullets (besökt 2018-04-16)
  2. Akut ortopedi av Lena Hultman och Johannes Järhult, ISBN 9789147094011
  3. Skelett- och ledskador av läkarna vid ortopedkliniken i Karlstad, ISBN 9789188840066

Uppdaterad: 2022-02-19 21:33:59 av Lars Johanson
Om webbsidan | Om copyright | Om cookies