Skada: Mallet-finger/droppfinger
Klassificering
Kan klassificeras enligt Doyle:
- Typ I: Sluten skada, med eller utan mindre, dorsal avulsionsfraktur

- Typ II: Öppen lacerationsskada
- Typ III: Öppen skada, större än lacerationsskada
- Typ IV: Med fraktur:
- Typ IV A: Fys-skada på distala falangen (hos barn)
- Typ IV B: Fraktur som involverar 20-50 % av ledytan (hos vuxen)
- Typ IV C: Fraktur som involverar >50 % av ledytan (hos vuxen)
Diagnos
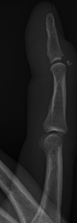
Oförmåga att extendera DIP-led, ev. med fraktur i distala falangen.
På vårdcentral
- Remiss till arbetsterapeut för ortosbehandling med hyperextensionsortos i 8 veckor [9]
- Vid större trauma eller svullnad och ömhet: remiss för slätröntgen [9]
- Vid subluxation eller felställning av stort benfragment > 30 % av ledytan: remiss till ortopedklinik [9]
På ortopedklinik
Vid volar subluxation av distala falangen [1, 2] eller om skadan > 12 veckor gammal [1]:
- Diskutera med bakjour, troligen operativ åtgärd (ORIF resp. sensutur)
Om > 50 % av ledytan är engagerad, eller ledytegap > 2 mm:
- Diskutera med bakjour, eventuellt operativ åtgärd [1]
Om det finns defekt i hud eller saknas sensubstans:
- Diskutera med handkirurg [2] eller bakjour, bör opereras inom 24 timmar
Annars (vanligast):
- Sätt på malletskena. Det finns olika sorter, vitsen är att ha DIP-leden extenderad, men inte hyperextenderad, och PIP-leden fri, dygnet runt i 6 veckor. Därefter arbetsterapi och skenan på nattetid ytterligare ett par veckor. [1, 3-8]
Kan trots behandling ge kvarvarande extensionsdefekt på 10-15° [2].

ICD-10
- S66.3: Skada på sträckmuskel och dess sena till andra fingrar på handleds- och handnivå
Referenser
- Mallet Finger på orthobullets.com (besökt 2019-01-07)
- ABC om Senskador i handen, Läkartidningen nr 9 2016 (besökt 2019-02-06)
- Skelett- och ledskador av läkarna vid ortopedkliniken i Karlstad, ISBN 9789188840066
- Ortopediskt traumakompendium under redaktion av G. Sandersjöö, ISBN 9789197865401
- Akut ortopedi av Lena Hultman och Johannes Järhult, ISBN 9789147094011
- Akut ortopedi av Jenny Önnerfält och Rolf Önnerfält, ISBN 9789144091020
- Ortopedi på akuten av Sven-Anders Sölveborn, ISBN 9789113028606
- Ortopedi i fickformat av Richard Blomfeldt, ISBN 9789163307195
- Ansvarsfördelning mellan primärvård och ortopedisk specialistvård, VGR (giltig till 2026-06-20)
- Droppfinger på Nationellt kliniskt beslutsstöd (besökt 2024-07-29)
Uppdaterad: 2024-07-29 09:21:53 av Lars Johanson