Operation: Barn: TEN-spikning av underarm
Definitioner
TEN = Titanium Elastic Nail
ESIN = Elastic Stable Intramedullary Nail
Indikationer
- Kan användas till nyckelbensfrakturer på vuxna, används för övrigt endast till barn.
- Provisorisk stabilisering av instabila diafysära frakturer i humerus, radius, ulna, femur, tibia och fibula. Vid metafysära frakturer så oftast sluten reposition och vid behov stiftning med två korsade stift.
Kontraindikationer
- Lokal infektion
- Avsaknad av mjukdelstäckning
Förberedelser
- Läs exempelvis AO Surgery Reference.
- Ryggläge.
- Ej antibiotikaprofylax.
- Genomlysning med C-båge (är möjlig att utföra även utan genomlysning)
- Partikeltäta operationskläder (ortopedkläder) och röntgenskydd.
Utförande
Här beskrivs märgspikning av både radius och ulna. Man kan göra motsvarande vid fraktur i enbart radius eller ulna, eller på andra längre rörben såsom humerus, femur, tibia eller fibula.
Vid diafysära frakturer i både radius och ulna så sätt TEN-spik i båda.
Börja med radius:
- Lokalisera fysen vid distala radius i genomlysning, markera läget med penna
- Lokalisera första dorsala senfacket med abduktor pollicis longus och extensor pollicis brevis, finn soft spot dorsalt om detta mot andra dorsala senfacket med extensor carpi radialus brevis och longus.
- Gör längsgående incision ca 2 cm långt i hud radialt över distala radius, från ungefär i höjd med fysen och proximalt, mellan första och andra dorsala senfacken. V cephalica och ytlig gren av n radialis går strax under huden, skär vasst endast genom huden!
- Dissekera trubbigt till benet, akta nerver, blodkärl och senor, trubbigt eller försiktigt vasst genom extensorretinaklet, exempelvis mellan senor extensor carpi radialis och abduktor pollicis longus, och brachioradialis (som fäster på distala radius).
- Gör ingångshål med pryl i radius, 10-15 mm proximalt om fysen. Gör ganska stort hål, vinkla ingångshålet i radius längsriktning.
- Välj storlek på TEN-spik, tjockleken 60-70 % av innerdiameter [1]. Kolla storlek både på frontal- och sidobild, särskilt ulna är inte helt rund.
- Spiken är vinklad i änden, för in den åt rätt håll så den inte fastnar mot motstående kortex.
- Fäst chuck i spiken, gärna så spikens vinklade ände åt samma håll som längsta handtaget på chucken, det är då lättare att veta åt vilket håll änden pekar. Vicka alt. banka in den försiktigt, se i genomlysning till att änden är vänd åt rätt håll.
- I frakturområde:
- Se till att spiken är roterad åt rätt håll. Ibland går det att försiktigt trycka alt. banka förbi den.
- Man kan behöva reponera utifrån - ordentlig traktion (är troligen viktigast) och manipulera genom tryck utifrån mot fragmenten, man kan också använda TEN-spiken som joystick av distala fragmentet.
- Man kan behöva reponera öppet - kontrollera läge i genomlysning, gör några centimeters incision, gå ner trubbigt till benet (gärna med finger) men kan öppna fascia med kniv. Reponera exempelvis med liten frakturhållartång, k-tråd som joystick i det lösa fragmentet eller hävla med Wibergs rasp.
- Tryck/banka försiktigt in spiken tills änden är strax distalt om kaput radii (det blir då trögare att föra in spiken).
- Markera hudnivån på spiken med penna
- Dra ut TEN-spiken 5-10 mm
- Klipp av spiken med speciellt verktyg ca 5 mm nedanför markeringen, så änden hamnar strax under huden.
- Böj änden utåt så den blir lättare att få tag på vid ev. extraktion, använd gärna den sneda införaren.
- Banka in spiken igen med en stans så änden ligger strax under huden, försiktigt så den inte åker in för långt, om det inte går att få in den innanför huden så klipp av med avbitare igen. Änden kan gärna vara palperbar under huden men ska inte tälta.
Sedan ulna:
- Kontrollera fysen proximalt på ulna, markera läge med penna
- Gör längsgående incision 10-15 mm långt, dorsalt om proximala ulna, strax distalt om fysen. Här finns ingen känslig nerv eller blodkärl.
- Gå ner till ulna.
- Går ingångshål i ulna med pryl, något lateralt (= radialt).
- Välj storlek på TEN-spik, tjockleken 60-70 % av innerdiameter [1]. Kolla storlek både på frontal- och sidobild, ulna är inte helt rund.
- För in TEN-spiken motsvarande som i radius, passera frakturområde på motsvarande sätt.
- Vicka/banka in den tills den distala änden är mot distala metafysen (blir trögare att föra in)
- Dra ut den 10-15 mm
Böj änden så den pekar utåt och blir lättare att få tag på vid ev. senare extraktion, använd gärna den sneda införaren.
- Klipp av spiken med speciellt verktyg ca 5 mm nedanför markeringen, så änden hamnar strax under huden.
- Banka in med hjälp av stans, försiktigt så den inte kommer för långt in, om det inte går att få in den innanför huden så klipp av med avbitare igen.
- Testa med att pro- och supinera fullt
- Kontrollera lägen med genomlysning, spara undan bilder
- Spola ut och suturera båda såren intrakutant
- Sätt låg dorsal gipsskena (enligt AO behövs inget gips alls)
Innan hemgång:
- Kontrollera distalstatus
- Kontrollera läget med röntgenundersökning
- Om man satt gips: avgipsning 2-3 veckor postop i hemmet
- Det finns olika lokala rutiner. På en del ställen låter man TEN-spiken sitta kvar. Annars exempelvis:
- Återbesök med röntgenkontroll 3 månader efter operationen för att verifiera att frakturen läkt.
- Om läkning vid återbesök så anmäl för extraktion senast efter ytterligare 3 månader, alltså 6 månader efter operationen.
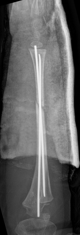
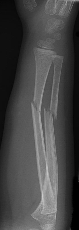
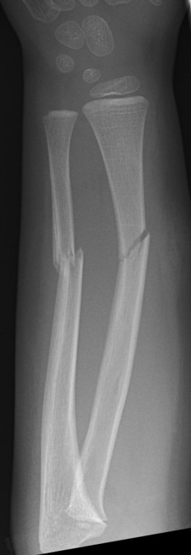
Exempel på rötngenbilder vid TEN-spikning:

Frontalbilder före och efter operation, resp. sidobilder före och efter operation med TEN-spikning i radius och ulna
ICD-10
- S52.2: Fraktur på ulnaskaftet
- S52.20: Fraktur på ulnaskaftet-sluten
- S52.21: Fraktur på ulnaskaftet-öppen
- S52.3: Fraktur på radiusskaftet
- S52.30: Fraktur på radiusskaftet-sluten
- S52.31: Fraktur på radiusskaftet-öppen
- S52.4: Fraktur på skaften av både ulna och radius
- S52.40: Fraktur på skaften av både ulna och radius-sluten
- S52.41: Fraktur på skaften av både ulna och radius-öppen
Åtgärdskoder (KVÅ)
- NCJ59: Osteosyntes av fraktur i armbåge eller underarm med märgspik.
Referenser
- ESIN for both bones, combination of radial and ulnar fracture på AU Surgery Reference (besökt 2023-06-27)
- Stryker: T2 Kids Flexible Nailing System, Operative Technique (besökt 2023-06-27)
- Synthes: Bruksanvisning Elastiskt titanspiksystem (besökt 2023-06-27)
Uppdaterad: 2025-07-27 13:11:49 av Lars Johansson