Skada: Accessoriskt navikulare/os tibiale externum
Bakgrund
Stor navikulare eller accessoriskt ben i anslutning till os navikulare.
Prevalens 2-12 % [2].
Synonymer
- Os naviculare secundarium
- Accessorisk naviculare
- Tibiale externum
- Accessory navicular
Klassificering
Kan indelas i följande typer [1]:
- Typ 1: sesamben i senan tibialis posterior
- Typ 2: accessoriskt ben med broskled mot navikulare
- Typ 3: förstorad navikulare
Symtom
Sena tibialis posterior fäster i detta område.
- Ofta asymtomatisk [1]
- Ofta mest symtom i ungdomsår, minskar när skelettet mognat [1]
- Lokal ömhet/smärta och/eller svullnad [1]
- Skoskav medialt om os navikulare
- Ofta försämring vid ökad belastning [1]
- Kan vara associerat med pes planus (plattfot)
Diagnos
Slätröntgen. Ibland MR för att utesluta diffdiagnoser. [1]

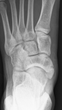
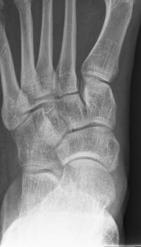
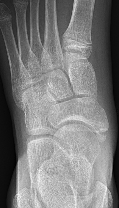
Första bilden med normal navikulare, andra bilden med accessorisk navikulare typ 2, tredje bilden typ 3.
Handläggning
- I första hand minskad belastning, anpassade skor och smärtlindring [1]
- Hålfotsinlägg och avlastande eller tryckfördelande inlägg [1]
- Ibland operation med excision av det accessoriska benet [1]
ICD-10
- Q66.8: Andra specificerade medfödda deformiteter av fötterna
Referenser
- Accessory navicular på orthobullets.com (besökt 2021-11-25)
- Lower Extremity Os på orthobullets.com (besökt 2025-12-27)
Uppdaterad: 2025-12-27 11:21:37 av Lars Johansson