Skada barn: Luxation caput radii (barn)
För information om pigluxation, se separat sida.
Handläggning (barn)
- Vid misstanke om, eller röntgenverifierad luxation: se till att det finns röntgenbild av både underarm och armbåge för att utesluta Monteggiafraktur (se även Fraktur diafys underarm). [1]
- Om inte Monteggiafraktur: beställ röntgenundersökning även av kontralateral sida [1] för jämförelse.
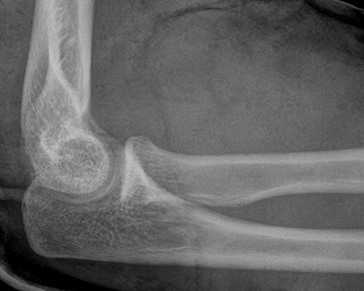
På röntgenbild ska radius längsaxel normalt gå centralt igenom capitellum humeri i både frontal- och sidobild av armbågen. Vid luxation:
- Reponeras, antingen i lustgas eller på operation.
- Håll ett finger på caput radii, man kan då känna när den reponeras.
- Extendera armbågen fullt, supinera och pronera fullt.
- Supinera fullt, flektera och extendera i armbågen.
- Kontrollera om möjligt i genomlysning att armbågen ligger rätt.
- Sätt gips med armbågen i 90° vinkel.
- Om det inte finns genomlysning så kontrollera läget med vanlig röntgenundersökning.
- Efter reponering:
- Återbesök 1 vecka efter trauma med röntgenkontroll. [1]
- Nytt återbesök 3 veckor efter trauma med avgipsning och klinisk kontroll. [1]
- Undvik risker 3 veckor efter avgipsning. [1]
- Informera om att 2 veckor efter avgipsning ska barnet ha normal rörlighet i armbågen. [1]

Luxerad caput radii, ingen fraktur i ulna, på andra bilden reponerad och gipsad
ICD-10 (barn)
- S53.0: Luxation av radiushuvudet
Referenser (barn)
Uppdaterad: 2024-12-10 16:41:09 av Lars Johanson